

















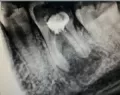
У меня воспалилась десна и образовался маленький прыщик, он лопнул, потек гной, немного оттуда кровило. На следующий день пошла в больницу, промыли, лекарство в десну закапали. Сделали рентген, врач сказал — гнойный карман.
Скажите, пожалуйста, это серьёзно, что гной начал течь? В интернете начиталась — опасно, заражение крови, гной в голову может попасть.
Гнойного кармана не бывает. У Вас — свищевой ход, причиной может быть некачественное лечение каналов зуба. Я предполагаю, что Вы обращались в гос.поликлинику, где Вы не получите квалифицированную помощь и качественное лечение.
Обратитесь к грамотному специалисту, проблема в зубе и её необходимо локализовать, в противном случае Вы рискуете потерять зуб.
Стоматолог-имплантолог, скуловой имплантолог, хирург, челюстно-лицевой хирург
Стаж: 20 лет
Стоматолог-терапевт, детский стоматолог, пародонтолог, эндодонтист
Стаж: 23 года
Стоматолог-терапевт, детский стоматолог, ортодонт
Стаж: 14 лет