Рейтинг и отзывы
4.9
4 отзыва
Принимает в клиниках
Москва, шоссе Хорошевское, д. 48
Беговая Полежаевская Хорошевская
+7 (495) 104-44-95
Режим работы
сейчас закрыто
Пн
с 9:00 до 21:00
Вт
с 9:00 до 21:00
Ср
с 9:00 до 21:00
Чт
с 9:00 до 21:00
Пт
с 9:00 до 21:00
Сб
с 9:00 до 21:00
Вс
с 10:00 до 20:00
Образование
Участие в мероприятиях:
2014
2014, 2016, 2017 гг. Участник Всероссийского Съезда Ортодонтов XVI, XVII, XVIII.
Повышение квалификации
2011
«Лечение второго класса с использованием самолигирующих брекетов» Мауро Коззани, Москва.
2016
Pumpa Механика ортодонтического лечения Ренато Коккони, Москва.
2018
Fresh Ortho Орофациальные боли Джефри Окесон, Минск.
2018
Pumpa Погружение в сплинт-терапию Альберто Канабез, Санкт-Петербург.
2017
Fresh Ortho Челюстно-лицевые боли Джефри Окесон, Тбилиси.
2017
Pumpa Биомеханика Альберто Канабез, Санкт-Петербург.
2017
Fresh Ortho Современный взгляд на диагностику ортодонтического пациента или как избежать «подводных камней» на пути к оптимальному результату Жанна Ленденгольц, Минск.
2017
Fresh Ortho Кортикальная опора Патрисия Вергара, Сочи.
2017
Pumpa Кортикальная опора Александра Волкова, Москва.
2017
Pumpa Сплинт-терапия для стабилизации нижней челюсти Альберто Канабез, Москва.
2016
Pumpa Введение в философию Face Доминго Мартин, Новосибирск.
2012
«Диагностика и планирование ортодонтического лечения» Станислав Блум, Санкт-Петербург.
2016
Pumpa Введение в философию Face Альберто Канабез, Екатеринбург.
2015
Conmet Устранение мезиального наклона моляров Алексей Петров, Москва.
2015
Ormco Рождественские встречи, Москва.
2015
Pumpa Дни Ортодонтии 25 лет Дмитрий Богатырьков, Екатериина Гизоева, Витторио Каччафеста, Назан Кучуккелес, Доминго Мартин, Москва.
2015
Кассис Гнатология для ортодонта Наталья Лопухова, Москва.
2015
3M Лечение сагиттальных аномалий окклюзии Джон Сколи и Колин Мелроуз, Москва.
2015
Сертифицированный курс Invisalign Gil J. Laks, Москва.
2014
3M Лечение второго класса с использованием SmartClip и Forsus Лиза Альветро, Санкт-Петербург.
2014
Damon System «Введение в механику низкого трения» Димитрис Мавреас, Москва.
2017
Pumpa Постдипломный двухгодичный курс FACE, Москва.

Сертификаты и лицензии

Прием в клиниках

Акции

Запись на приём
Звоните, мы работаем
+7 (495) 104-44-95
Перезвоним через минуту!
Нажимая кнопку, Вы разрешаете обработку персональных данных и соглашаетесь с политикой конфиденциальности

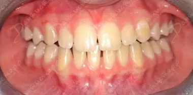
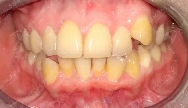
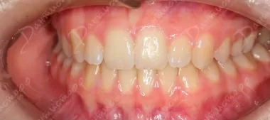
Фото работ

Ответы на вопросы
Лида10 апреля 2023 г.
Возможно ли провести лечение инфантильного глотания с установленной ортодонтической пластиной?
У ребёнка обнаружили инфантильный тип глотания. Направили к логопеду для устранения. Завтра ребенку установят съёмную пластину для коррекции прикуса (зуб прорезывается не ровно). Логопед считает, что сначала его работа, затем ортодонта.
Возможно логопеду убирать инфантильный тип при пластине, или ее надо надеть после работы логопеда? 
Отвечает Лукашевич Алина Александровна
ЭКСПЕРТЫ TOPDENT
Стоматолог-терапевт, ортодонт
Допустима параллельная работа, а также контроль у остеопата. Но на время  работы остеопата аппарат следует извлекать из полости рта.
Евгения24 мая 2022 г.
Почему у ребенка в 6 лет не растут постоянные зубы после выпадения молочных?

Прошлым летом, когда сыну было 4.9 года он ударился верхним передним зубом, в последствии он у него выпал. Через 3 - 4 месяца повторилась такая же ситуация со вторым верхним резцом. Ребенок около полу года теперь без верхних зубов. Месяц назад выпал нижний резец и второй рядом шатается. Похоже, пришло время для смены первых нижних зубов. Уже прошел месяц, но зуба коренного так и не видно. Они по всей видимости не скоро еще прорежутся. Переживаю, что через месяц ребенок будет без 4-х передних зубов, и неизвестно, сколько он так будет ходить.

Когда ждать прорезывания постоянного зуба? Через какое время после выпадения? Что делать с верхними зубами?

Отвечает Лукашевич Алина Александровна
ЭКСПЕРТЫ TOPDENT
Стоматолог-терапевт, ортодонт

Сроки прорезывания  индивидуальны. По статистике смена начинается в 6-ть лет, но встречается как более ранняя, так и поздняя смена зубов.

Вам необходимо обратиться к стоматологу-ортодонту. Желательно, предварительно сделать рентгеновский снимок, который называется ортопантомограмма. По снимку будет видно, где расположены зачатки зубов и есть ли место для их полноценного их прорезывания. В ряде случаев, если места недостаточно, то зубы могут оказаться заблокированы.

Валерия13 мая 2022 г.
Что делать, если полтора года не могут полностью прорезаться постоянные зубы?

У меня есть проблема. Нижний ряд зубов у меня прекрасен, точнее он мне нравится, но верхний ряд это ужас. Мне 11 лет и у меня не до конца выросли зубы, только передние два выросли полностью. Больше зубы не растут, около года / полтора лет. Я не понимаю, что делать и как это исправить. Вдруг они больше никогда не вырастут, хотя я в этом и так уверенна.

Что мне делать?

Отвечает Лукашевич Алина Александровна
ЭКСПЕРТЫ TOPDENT
Стоматолог-терапевт, ортодонт

Вам необходимо обратиться к стоматологу-ортодонту. Только ортодонт может определить состояние зубов, наличие зубов и места для их полноценного прорезывания.

Мира1 июля 2021 г.
Нужно ли ставить брекеты на всю верхнюю челюсть при адентии?

У меня адентия 3-х зубов, пятерок. Это передалось по наследству от моей мамы, у неё нет двоек. Сейчас там еще молочные зубы.

Мне делали рентген в 13 лет, но никто не увидел зачатка постоянного зуба. Сейчас оказалось, что у одного зуба появился зачаток. Когда я узнала о том, что в кости десны у меня сформировался коренной зуб, я вырвала молочный зуб. Теперь у меня  коренной зуб торчит немного из десны. Врачи сказали, что его можно вытянуть брекетами.

Мне предлагают поставить брекеты либо на 3 зуба, чтобы вытащить зуб, либо на всю верхнюю челюсть. Но я думаю, есть ли толк ставить на всю челюсть, и есть ли большая необходимость ставить брекеты на нижнюю челюсть (не предлагали). Остальные молочные зубы я постепенно буду вырывать и ставить имплантаты, потому что такую большую сумму нам сразу не потянуть.

Есть ли необходимость ставить брекеты на всю верхнюю челюсть? Если есть, то ничего страшного, если на нижнюю челюсть не ставить брекеты? Что будет с молочным зубом сверху, если поставлю брекеты?
Отвечает Лукашевич Алина Александровна
ЭКСПЕРТЫ TOPDENT
Стоматолог-терапевт, ортодонт
В ряде случаев возможно частичное лечение, как на одной челюсти, так и в пределах одного сегмента. Но, при условии, что это не помешает созданию правильных контактов. 
Ольга29 мая 2021 г.
Правильно ли прорежется постоянный клык, если удалить молочный зуб?

Ребенку 7 лет. Год назад ему удалили клык и следующий зубик так как был флюс. Врач по ошибке удалил клык первым, а на следующий день удалил следующий зуб. Молочный резец ещё не выпал. При осмотре я поняла, что постоянный зуб вырос на месте клыка, а клык хочет уже начал прорезаться сверху. Записались к ортодонту, приём только через две недели.

Что нам делать? Если удалить молочный зуб, то встанут ли зубы на свои места? Стоит ли удалить молочный, чтоб за это время постоянный зубик сдвинулся на своё место, а клык, который прорезается, встал на своё место?

Отвечает Лукашевич Алина Александровна
ЭКСПЕРТЫ TOPDENT
Стоматолог-терапевт, ортодонт

Да, боковой резец лучше удалить, чтобы ортодонт мог приступить к перемещению бокового резца на законное место и освободить место для клыка.

Мария17 марта 2021 г.
Нужно ли устанавливать пластину на месте удаленного переднего молочного резца?

Пошли с ребенком (4,2 года) на профилактический осмотр зубов, до этого никогда не лечились. Доктор сказала, что есть кариес на передних верхних резцах, лечение возможно, но сложное. Сделали снимок, оказалось, что когда-то была травма верхней челюсти, и корень правого верхнего резца кривой.

В процессе лечения кровь не останавливалась. Было принято решение удалить верхний правый резец. Удаление прошло хорошо. Переживаю, что коренной зуб может не скоро еще вылезти, от чего ребенок может долгое время шепелявить.

Нужна ли платина в таком случае? Могут ли переместиться другие верхние зубы?

Отвечает Лукашевич Алина Александровна
ЭКСПЕРТЫ TOPDENT
Стоматолог-терапевт, ортодонт

Без клинического осмотра и оценки рентгеновского снимка сложно судить о необходимости установки аппарата. Если зачаток постоянного зуба высоко, то аппарат для удержания места нужен, но конструкция зависит от клинической картины.

Ольга12 октября 2020 г.
Что делать, если у ребенка десна набухла, а постоянный зуб не прорезывается?

Где-то полгода назад у дочери (8 лет) почти одновременно выпали верхние молочные зубы (двойки). Один постоянный зубик вылез практически сразу, а вот второй никак не вылезет. Десна набухшая и спустилась вниз на уровень прорезавшегося зуба. Краешек зуба прямо просвечивает сквозь десну, но никак не прорежет ее. Мы уже и массировали, и старались надавливать на место прорезывания, чтобы ускорить прорезывание. Ничего не помогает.

Что делать? Нужно ли обращаться к стоматологу или можем справиться сами? Если нужно к специалисту, то к какому к терапевту, ортодонту или хирургу?

Отвечает Лукашевич Алина Александровна
ЭКСПЕРТЫ TOPDENT
Стоматолог-терапевт, ортодонт

Рекомендуем Вам обратиться к стоматологу-ортодонту для оценки состояния тканей и определения причины задержки прорезывания.

Антонина24 января 2020 г.
У ребенка неправильно прорезался передний зуб, что делать?

У моего ребенка выпали зубы передние верхние уже как 2,5 года. Новые зубы не растут. Один зуб вылез и тот поперек и на половину, и остановился в росте.

Ребенку уже 12 лет, а он без зубов. Снимок делали, зубы есть. Все остальные зубы вылезли один за другим, а вот с передними проблема.

Что делать с зубом, который вылез неправильно? Он может развернуться сам со временем или нет? Что делать?

Отвечает Лукашевич Алина Александровна
ЭКСПЕРТЫ TOPDENT
Стоматолог-терапевт, ортодонт

Маловероятно самостоятельное исправление зубов.

Рекомендуем вам обратиться к стоматологу-ортодонту. В ряде случаев встречается анкилоз зуба или что либо, блокирующее прорезывание. Причину лучше искать на КЛКТ.