🔥 Имплантация за 3750 ₽/мес.

Воспаление десны между зубами

Ярослава27 января 2015 г.

     Мне лечили одновременно корни верхних 5-ки и 6-ки слева. В шестом оказалась резорбция, якобы, причиной была очень глубокая, узкая, как шип, пломба, что привело к гибели нерва. Врач все же пыталась 6-ку спасти и, по ее словам, прочистила каналы корней зуба. Через несколько месяцев, в мае 2014 года, сделала ренген и сказала, что с зубом ничего больше нельзя сделать, но жалко его удалять и решила оставить в таком состоянии. Изредка десна под ним воспаляется, через несколько дней сама проходит. У пятерки на конце корня был гнойник. После длительного лечения в сентябре на 5-ку врач поставила постоянную пломбу.

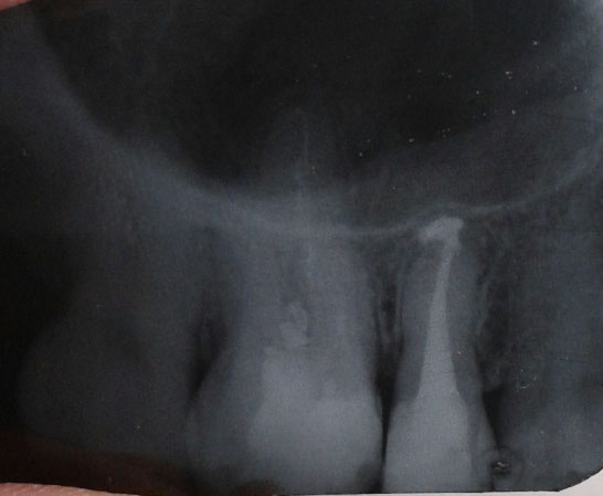
   Сейчас десна между пятым и шестым зубом воспалилась, покраснения и припухлости больше у пятерки, к тому же там десна у самого зуба еще и потемнела. И как будто лунка от гнойника. Покраснение вдоль корня к нёбу. Какой из этих зубов дает о себе знать? Может ли воспаление шестого зуба распространиться на пятерку? Или пятерка сама вызывает воспаление? Рентген-снимок, сделанный в декабре: у 5-ки (справа крайний) материал заполнителя вышел за пределы корня. Это нормально? У 6-ки, как видно, канал корня зуба не заполнен, т.е., выходит, не залечен? Могла ли врач «забыть» залечить третий корень шестерки? И что это за два "предмета" в середине канала шестого зуба?

Прикрепленые фото
Эксперт topdent
5.0
3 отзыва
Стоматолог-терапевт, эндодонтист Стаж: 21 год

Добрый день, уважаемый пациент. Причиной вашего беспокойства может быть любой из этих зубов, так как на верхушке пятого зуба наблюдается значительное количество материала, что крайне не допустимо, и, также, воспаление. То же самое у шестого зуба, имеется воспалительный процесс. и причина - некачественное лечение каналов. Рекомендую вам не тянуть, так как воспалительный процесс и грануляция имеют свойства распространяться. И вообще, ходить постоянно с таким состоянием нельзя, вы просто рискуете потерять несколько зубов. Рекомендую неотлагательно обратиться к врачу и, желательно, к другому.
Всего доброго.

Похожие вопросы

Анастасия 28 октября 2014 г.
Воспаление после пломбирования канала

Добрый день. 22.10.2014 мне запломбировали канал и поставили пломбу. Боли до сих пор не прошли. Вчера после рентгена сказали что небольшое воспаление и выписали нимесил, если боли не пройдут, то отправят на физиотерапию. Разве перепломбировать канал они не должны были?

Связанные услуги

Статьи по теме

  • 27 сентября 2018, в 18:22 Проверенный отзыв
    Между 7-ой и 6-ой постоянно выходит гной. Стоматолог сделал снимок все нормально. Назначил Мирамистин, лесной бальзам. Меня это беспокоит, и уже тошнит от гноя. Это нормально, что мне делать?
  • Необходимо оценить рентгеновский снимок. Наличие гноя заведомо свидетельствует о воспалительном процессе в периапикальных тканях. Здесь априори все нормально быть не может.
Вас консультируют