

















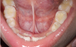
Дочке 7 лет, возраст, когда молочные зубки выпадают. Начал шататься верхний второй зуб слева. Сегодня заметила, что рядом режется зуб, но только совсем не там, где я его ожидала.
Подскажите, можно ли будет как-то исправить ситуацию? Он как-то совсем не там, где нужно растет. Причем, жалоб от нее не поступало, ничего не болело. Честно, я в панике, хочется, чтобы у девочки были красивые, ровные зубки. Что делать?
Не переживайте, обратитесь к стоматологу-ортодонту на очный приём, и удаляйте все молочные зубки под его наблюдением. Данный зуб необходимо как можно раньше удалить, так как нет места для правильного прорезывания постоянного зуба.
Стоматолог-имплантолог, скуловой имплантолог, хирург, челюстно-лицевой хирург
Стаж: 20 лет
Стоматолог-терапевт, детский стоматолог, пародонтолог, эндодонтист
Стаж: 23 года
Стоматолог-терапевт, детский стоматолог, ортодонт
Стаж: 14 лет