🔥 Имплантация за 3750 ₽/мес.

Нужно ли снимать все мосты и ставить съемные протезы при пародонтозе?

Марина Шурыгина26 июня 2017 г.

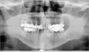
Моему мужу 46 лет, бывший подводник. У него пародонтоз. Лет 7 назад внизу впереди расшатались зубы. Один выпал, поставили шину на весь низ и искусственный зуб. А лет восемь назад муж ставил мосты на весь верх и на коренные внизу с обеих сторон. Сейчас эти мосты его не беспокоят. Жует он нормально. Только немного пища попадает. Он прополаскивает и пользуется зубочистками. Три недели назад, видимо шина отвалилась. Расшатался зуб, к которому был прикреплен искусственный и еще 1. Их удалили с разрывом в неделю. После этого муж стал натирать зубом край языка. После язык стал неметь. Потом губа. Но все было несильно выражено. Вот ближе к выходным вечером в четверг и в пятницу правая сторона лица как бы съехала вниз. Онемели губа, щека. Стало трудно правой стороной есть и пить. Стали набухать веки и покраснел сам глаз. Так как выходные.

Я начиталась в интернете, что это может быть неврит тройничного нерва. Давала Ибупрофен, Пенталгин, Нейромультивит, что дома было. Завтра обязательно нужно попасть к неврологу. Но вопрос не в этом. Сегодня были у протезиста по записи. Он сказал, что этот неврит может быть спровоцирован в том числе и неправильным смыканием челюстей. Мы думали, что нужно протезировать только выпавшие передние зубы внизу, но как сказал врач нужно снимать все мосты. Удалять внизу крайние коренные зубы, т. к. там полости между корней сверху. Тоже справа крайний зуб сказали на снимке это слева. И может быть второй справа тоже, т.к. там воспаление на корнях, крайний слева. После удаления мостов надо смотреть, какие еще зубы надо удалить. И потом делать съемные протезы, т.к. сейчас неправильное смыкание челюстей. Понятно, что дела не очень, но в 46 лет не хочется жить со съемными протезами.

Прав ли врач, нужно ли снимать сейчас все мосты и ставить съемные протезы?

Прикрепленые фото
Эксперт topdent
5.0
273 отзыва
Стоматолог-ортопед Стаж: 21 год

В связи с пародонтозом, корни зубов оголены и подлежат удалению, соответственно во рту всю конструкцию надо переделывать. Действительно очень сложно с данным заболеванием подобрать максимально удобный протез. Но попробуйте поговорить, с доктором возможно ли сделать остеопластику (наращивание костной ткани). И дальнейшую имплантацию, чтобы не делать съёмник.

Кандидат наук

Связанные услуги

Статьи по теме

  • 3 мая 2018, в 15:53 Проверенный отзыв
    Год назад мне поставили металлокерамический протез без цементирования. Больше года ортопед не может снять протез, чтобы поставить его на цемент. У меня пародонтоз, он не знает что делать дальше. так как у него это первичный случай. Что мне делать дальше?
  • Если фиксация протеза хорошая, и протез не разгерметизирован, то необходимости его снимать нет. Если имеется подвижность протеза, можно потихоньку его снять, используя коронкосбиватель. Для большей разгерметизации можно использовать ультразвук.
Вас консультируют