

















Удалил плохие зубы, залечил какие надо, готовился к протезированию. Буквально вчера жевал хлеб и хрустнул зуб (оставался корень, поставили штифт, нарастили зуб 4 года назад).
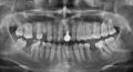
К врачу еще не обращался, пока не беспокоит. Сделал панорамный снимок (зуб помечен).
Не знаю, удалять его или нет? Их и так очень мало. Что можете сказать по фото?
Зуб однозначно удаляется по причине обширного воспалительного процесса.
Также зубы 46, 45 в консольной конструкции имеют воспаление на верхушках зубов.
Стоматолог-имплантолог, скуловой имплантолог, хирург, челюстно-лицевой хирург
Стаж: 20 лет
Стоматолог-терапевт, детский стоматолог, пародонтолог, эндодонтист
Стаж: 23 года
Стоматолог-терапевт, детский стоматолог, ортодонт
Стаж: 14 лет