

















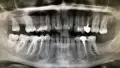
Попала к девушке со стажем работы 1 месяц. Мне удаляли нервы, но не смогли полноценно запломбировать зуб. Только один из каналов вроде запломбировали, т.к. из канала шла кровь, и они не могли её остановить. Прижигали мне там что-то по 10 раз. Поставили временную пломбу, а под нее вату. На следующий день тоже самое, на помощь молодому врачу подключилась врач со стажем. Она посверлила еще и нашла еще один канал. Опять прижигали. Шептались постоянно, я услышала фразу про две перфорации. Послали на рентген. Следующий прием только через 3 дня. К ней точно не пойду, уже нет доверия. Это была стоматология по ОМС. Пойду в платную стоматологию, может, спасут зуб.
Что они натворили, и какие действия мне предпринять?
Возможно, при адекватном лечении удастся спасти зуб.
Перфорация может быть стенки корня, стенки коронки, верхнечелюстной пазухи и т.д.
По снимку, определить о какой перфорации шептались Ваши врачи, не представляется возможным.
Стоматолог-имплантолог, скуловой имплантолог, хирург, челюстно-лицевой хирург
Стаж: 20 лет
Стоматолог-терапевт, детский стоматолог, пародонтолог, эндодонтист
Стаж: 23 года
Стоматолог-терапевт, детский стоматолог, ортодонт
Стаж: 14 лет