🔥 Имплантация за 3750 ₽/мес.

Боль после удаления 3 периодонтитных зубов

Ольга14 октября 2015 г.

После удаления 3 периодонтитных зубов: 4,5,6 на одной стороне, проблемы не закончились.

Место удаления очень сильно болело, насморк. Вкус крови во рту из под 3 и 7 зуба. Между нёбом и десной кости болят на стороне удаления и на противоположной стороне и еле заметная припухлость.

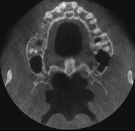
Пропила 2 курса антибиотиков. Хирург сказал, что все зубы в порядке, и отправил домой нервы лечить. Рентгенолог увидела повреждения и сказала не есть больной стороной и вообще не жевать. Это избавило меня от постоянной боли. Но стоит только дотронуться до семёрки, появляется неприятное очущение, как будто он висит на волоске. И в месте удалённой 5 зуд. Как будто кость сломана. Фото с 3д рентгена во время курса антибиотиков.

На сколько серьёзная травма? Надо ли снова обращаться к хирургу или само пройдёт?

Прикрепленые фото
Эксперт topdent
5.0
268 отзывов
Стоматолог-ортопед Стаж: 21 год

По этому снимку можно сказать, что немного повреждена передняя стенка, но это не является проблемой. К хирургу обратиться стоит, для того чтобы оценить процесс заживления.

Кандидат наук

Связанные услуги

Статьи по теме

Пока нет комментариев
Вас консультируют