

















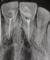
Двенадцать дней назад делала передние верхние зубы (был кариес), мне поставили светопломбы. Три дня назад проснулась с опухшей верхней губой, отек спал довольно быстро. Но со вчерашнего дня у меня над десной в районе носа шишка, болит, даже больно улыбаться, части носа тоже больно, нажимать больно, отдает в зуб. Но когда стучишь по зубам — не больно.
Что это может быть?
По Вашим симптомам можно сказать, что у вас обострение хронического воспаления (периодонтит). Причина, как правило, некачественное эндодонтическое лечение. Обратитесь срочно к стоматологу-терапевту, в противном случае Вы можете серьёзно повредить и даже потерять зуб
Стоматолог-имплантолог, скуловой имплантолог, хирург, челюстно-лицевой хирург
Стаж: 20 лет
Стоматолог-терапевт, детский стоматолог, пародонтолог, эндодонтист
Стаж: 23 года
Стоматолог-терапевт, детский стоматолог, ортодонт
Стаж: 14 лет