

















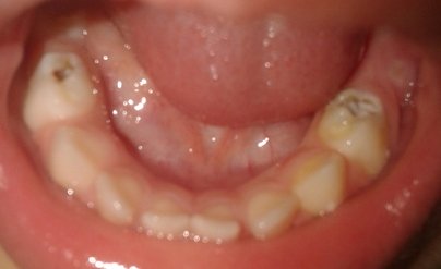
Я Хуанита Перебейнос, инфекционист, певица и журналистка. У меня с внуком беда. У нас ужас. Флюс, кариес и коренной зуб прорезается. Ну от боли — обезболивающее, от кариеса — лечить, но флюс ребенок не дастся лечить. А сода-солью с каплей спирта можно полоскать?
Вы бы слышали, как он кричал. Уже ему хотели под общим наркозом делать. Но это на сердце влияет. Как быть?
Сегодня очень популярна процедура седации, и на сердце она не влияет, тем более перед этим необходимо пройти обследование.
Обратитесь в специализированную детскую стоматологию и Вам помогут.
Стоматолог-имплантолог, скуловой имплантолог, хирург, челюстно-лицевой хирург
Стаж: 20 лет
Стоматолог-терапевт, детский стоматолог, пародонтолог, эндодонтист
Стаж: 23 года
Стоматолог-терапевт, детский стоматолог, ортодонт
Стаж: 14 лет