

















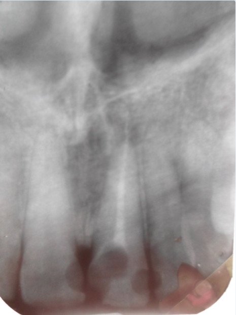
Больше месяца назад мне удалили нерв в переднем зубе (по словам врача из-за хронического периодонтита). Сейчас в этом зубе чувствуется пульсация, зуб не болит, а также после пребывания на холоде отмечаются неприятные ощущения при прикосновении к нему.
В чем может быть причина и возможно ли это устранить?
Причина как раз в том, что возможно именно сейчас у Вас и развивается хроническое воспаление (периодонтит), причина — некачественное лечение каналов. Также необходимо обратить внимание на наличие дополнительного канала, который не найден, и также данная ситуация может служить причиной воспаления.
Обратитесь к нам, и наши врачи Вам все подробно расскажут.
Стоматолог-имплантолог, скуловой имплантолог, хирург, челюстно-лицевой хирург
Стаж: 20 лет
Стоматолог-терапевт, детский стоматолог, пародонтолог, эндодонтист
Стаж: 23 года
Стоматолог-терапевт, детский стоматолог, ортодонт
Стаж: 14 лет