

















Я в данный момент нахожусь в Италии и хотела бы обойтись без обращения к стоматологу, потому что тут очень дорогое лечение.
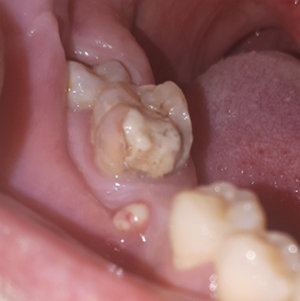
У меня был удален зуб полтора года назад и позавчера на этом месте образовалась опухоль. Щека снаружи тоже припухла. Сегодня я вижу гнойник вроде бы, что мне сделать, чтобы он прорвался и опухоль спала, применяя подручные средства?
Я полоскала содой с солью и приложила противовоспалительный пластырь на щеку на ночь.
Образование припухлости сложно объяснить без рентген-снимка. Возможно при удалении оставили фрагмент корня. Если полоскания не помогают, остается только один выход - антибиотики. Но надолго этого не хватит, необходимо вмешиваться врачу.
Уважаемая пациентка, отек, припухлость - это воспалительный процесс, а здоровьем нельзя рисковать. Рекомендую обратиться к врачу как дорого бы это ни стоило.
Стоматолог-имплантолог, скуловой имплантолог, хирург, челюстно-лицевой хирург
Стаж: 20 лет
Стоматолог-терапевт, детский стоматолог, пародонтолог, эндодонтист
Стаж: 23 года
Стоматолог-терапевт, детский стоматолог, ортодонт
Стаж: 14 лет