

















14 марта я удалила нижнюю восьмерку. Удалила, так как она росла криво, в щеку. Потом по стечению обстоятельств появился пульпит, рядом на семерке, вылечила. Потом заболела гриппом, ослабление иммунитета. Воспалились десны. Пропила курс витаминов, мазала десну. Потом заметила, что появились неприятные ощущения на противоположной стороне челюсти. Там где еще есть восьмерка. Ближе к десневой боли. Чувствуется когда прожевываешь твердую пищу, жуешь жвачку. Как будто что-то болит, но не сильно. Не острая боль. Не жуешь - не болит. Сделала снимок челюсти.
Что это может быть?
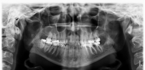
По снимкам никаких патологических изменений в области восьмерки нет. На ней установлена пломба либо керамическая вкладка, и конструкция вполне отвечает нормам.
Стоматолог-имплантолог, скуловой имплантолог, хирург, челюстно-лицевой хирург
Стаж: 20 лет
Стоматолог-терапевт, детский стоматолог, пародонтолог, эндодонтист
Стаж: 23 года
Стоматолог-терапевт, детский стоматолог, ортодонт
Стаж: 14 лет