

















Около недели назад во время чистки зубов, щётка слетела и повредила слизистую над правым первым резцом. Спустя несколько дней образовался стоматит, и появился синяк. Появились ощущения онемения, или ноющая боль, необычные для меня, но при этом точно не ощущения острой боли. Эти ощущения, то появляются, то проходят.
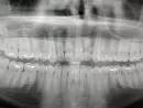
После похода к стоматологу, и прицельного снимка передних зубов, стало понятно, что зуб здоров. Тесты с холодом, постукиванием по зубам, показали, что зуб живой. Но меня смущают эти ощущения. Стоит отметить, что зуб внешне абсолютно здоров. Мой врач сказал, что волноваться не стоит.
С чем это может быть связано, и чего ожидать?
На снимке никаких патологических изменений не отмечено. В случае травматического поражения слизистой рекомендуется проводить антисептическую обработку слизистой (ванночки с "Хлоргексидином", "Фурацилином"), и на пораженный участок наносить противовоспалительный гель ("Холисал", "Метрогил Дента", "Солкосерил").
Стоматолог-имплантолог, скуловой имплантолог, хирург, челюстно-лицевой хирург
Стаж: 20 лет
Стоматолог-терапевт, детский стоматолог, пародонтолог, эндодонтист
Стаж: 23 года
Стоматолог-терапевт, детский стоматолог, ортодонт
Стаж: 14 лет