🔥 Имплантация за 3750 ₽/мес.

Почему на внутренней стороне щеки стали часто появляться ранки от стоматита?

Елизавета4 июля 2017 г.

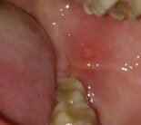
Появилась ранка на щеке. При соприкосновении с чем-либо очень болит. Находится возле зубов, поэтому жевать стало настоящим мучением. Такая же проблема уже была где-то полгода назад на другой щеке. Я полоскала рот антибактериальным средством "Мукосанин" (Беларусь). Вроде прошло через 4 дня. Что-то очень часто меня начинает беспокоить эта проблема: появляются маленькие пузырьки, которые не болят и проходят за день. Но такого болезненного стоматита раньше не было, а сейчас второй раз за полгода. Беспокоюсь, что он и дальше будет появляться.

Как это лечить и что делать, чтобы больше не появлялось?

Прикрепленые фото
Почему на внутренней стороне щеки стали часто появляться ранки от стоматита?
Эксперт topdent
5.0
38 отзывов
Стоматолог-терапевт, детский стоматолог, пародонтолог, эндодонтист Стаж: 23 года

Скорее всего, у Вас травматический стоматит. Нанести вред слизистой оболочке ротовой полости можно по-разному: химически, механически и физически. Механическая травма встречается у людей в результате быстрого употребления пищи, когда увеличивается риск прокусить слизистую или у любителей пощелкать семечки, орехи, твердые конфеты зубами. Чтобы избавиться от этого недуга, прежде всего надо найти и устранить причину.

Вы правильно обрабатываете полость рта антисептиком. Также существуют различные гели, спиреи и растворы, такие как "Холисал", "Люголь", "Ингалипт", "Йодинол". При болезненности можно применять "Лидохлор", "Инстиллагель". Лекарственный препарат предназначен для терапии стоматита только у взрослых пациентов "Камистад".

Связанные услуги

Статьи по теме

  • 11 июля 2019, в 17:03 Проверенный отзыв
    Я прикусила щеку. На месте травмы образовался стоматит, дырка в щеке диаметром где 3 мм. Очень беспокоит. Не могу нормально говорить, спать, есть. Обрабатываю перекисью, Нистатин и В12. Не проходит. Даже мне кажется, ухудшилось состояние общее. Что делать?
  • Обратите внимание, не происходит ли повторное травмирование поврежденного участка. Если наблюдается повторная травма, обратитесь к стоматологу-терапевту для выяснения причины травматизации и ее устранения. Если травмы нет, обязательно обрабатывать дезинфицирующим раствором (Мирамистин, Хлоргексидин). После можно нанести заживляющий гель (Метрогил Дента, Холисал, Солкосерил).
Вас консультируют