🔥 Имплантация за 3750 ₽/мес.

Перелом челюсти, когда можно снять шины?

Сергей24 мая 2016 г.

У меня перелом нижней челюсти справа без смещения. 8 мая был шинирован, хожу уже 16 дней так. Челюсть абсолютно неподвижна, врач хорошо постарался, видимо, и очень туго всё стянул. Удалили несколько зубов, слева пару, так как были гнилые, и справа в области перелома, но там у меня и так немного их было. Ломаю челюсть второй раз, уже это проходил. Но была ситуация в первый раз не лучше, тогда был двусторонний перелом с обеих сторон.

Вопрос такой: хотелось бы снять шины пораньше, боли не беспокоят и не беспокоили (что странно) со дня, когда мне сломали челюсть. Было ощущение, что просто ушиб или синяк, немного припухшее справа, может на 1 см, и то прошло на следующий день. Первую неделю принимал амоксиклав, нимесил и линекс. На данный момент складывается ощущение, что челюсть уже срослась. Возможно, у меня быстро срастаются кости.

Мне 33 года. В первый раз ломал, когда было 25. На протяжении всего этого времени челюсть меня не беспокоила ни разу, никаких болей, даже (что очень удивило) при глотании воды не возникало болевых ощущений.

Первые дни только привыкал к шинам, но быстро адаптировался, так как не впервой. От госпитализации я отказался, решил, что в домашних условиях справлюсь. Сделал контрольный снимок, проконсультировался с хирургом-стоматологом и он, посмотрев на снимок и на шины, сказал, что процесс заживления идёт нормально.

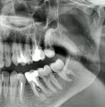
Снимок прилагаю (был сделан на 5-й день после шинирования).

Прикрепленые фото
Эксперт topdent
5.0
268 отзывов
Стоматолог-ортопед Стаж: 21 год

Теоретически все нормально, но справа имеется серьёзный костный дефект с повреждением нижнечелюстного канала. Рекомендую Вам обратиться к лечащему врачу.

Кандидат наук

Связанные услуги

Статьи по теме

  • 27 января 2024, в 6:47 Проверенный отзыв
    У меня перелом нижней челюсти без смещения. Просто врачи рекомендуют проходить так в целом 30 или 32 дня. Но я не понимаю зачем, так как сил уже нет носить всю эту конструкцию. Можно ли снять шины с десен на 28-ой день?
  • 27 января 2024, в 6:48
    Без клинического осмотра сложно определить характер заживления. Как правило шинирование проводят от трех недель, а дальше по снимку наблюдают за формированием костной мозоли, после чего принимают решение о снятии или дальнейшем ношении
  • 8 ноября 2023, в 0:21 Проверенный отзыв
    Наложили шины при переломе нижней челюсти с правой стороны. Сделал рентген спустя три недели после шинирования. Изменений перелома нет. Это плохо или нормально? Что делать?
  • 8 ноября 2023, в 0:22
    Что значит, изменений нет? Немного двоякое выражение. С одной стороны отломки шинированы, нет изменений в сторону смещения, что является положительной динамикой. С другой стороны, отломки шинированы, костная мозоль не формируется, это плохо. Требуется уточнение и желательно оценка рентгеновского снимка.
  • 8 марта 2023, в 21:03 Проверенный отзыв
    Хожу с шинами 25 дней. Можно ли их снять?
  • 8 марта 2023, в 21:03
    Предварительно стоит сделать рентгеновский снимок для оценки формирования костной мозоли. Но, как правило, при хорошей консолидации отломков в течение трех недель формируется мозоль, и шину снимают.
  • 11 декабря 2022, в 14:43 Проверенный отзыв
    Очень долго хожу с шинами после снятия резинок. Так получилось, потому что уехал надолго на работу и ходил с шинами как с брекетами. Кушаю все хорошо. Могут ли возникнуть осложнения из-за того, что так долго хожу и не снимаю эти железки?
  • 11 декабря 2022, в 14:44
    Нет, особых осложнений быть не должно, но следите за гигиеной, так как шины ее усложняют.
  • 24 октября 2022, в 0:59 Проверенный отзыв
    Мне делали операцию на челюсти, плюс шинирование. Сколько ходить в шинах?
  • 24 октября 2022, в 1:00
    Шинирование проводят сроком не менее, чем на три недели. Через три недели оценивают состояние репозиции.
  • 8 июня 2022, в 21:16 Проверенный отзыв
    У меня был перелом нижней челюсти со смещением. Пару недель походил в шинах. Провели остеосинтез челюсти, поставили титановые пластины с двух сторон. Сколько дней принято ходить в шинах?
  • 8 июня 2022, в 21:16
    Как правило, шинирование проводят не менее чем на 21 день, но зависит от конкретного клинического случая, иногда сроки могут быть увеличены.
  • 9 сентября 2021, в 23:14 Проверенный отзыв
    У меня перелом челюсти. Проходил 25 дней с шинами. Можно снимать шины?
  • 9 сентября 2021, в 23:15
    Самостоятельно не стоит снимать шины. Необходимо обратиться к стоматологу-хирургу для оценки формирования костной мозоли.
  • из Казани 30 июня 2021, в 23:30 Проверенный отзыв
    Доброго времени суток, при неудачном падении сломал челюсть, без смещения, сказали что перелом не сложный. Врач установил шины, прописал антибиотики и средство для снятия отёка, хожу уже 20 дней, не болит остался только дискомфорт на зубах от шины, не подскажите сколько ещё необходимо ходить с шинами?
  • из Люберц 20 июня 2021, в 22:47 Проверенный отзыв
    Добрый день.
    Сломал челюсть слева от мыщелкового отростка трещина вниз.
    Когда сломал совсем не придал значения - думал что просто ушиб, так жил ещё 2 недели, но рот не раскрывается полностью потому что слева на щеке напряжены мышцы. Если их разминаю - челюсть может открыться на 3 пальца.
    Пока сходил к доктору по ДМС прошло уже 3 недели.
    На КТ челюсти перелом виден.
    Докт читать далее
  • 23 января 2021, в 13:16 Проверенный отзыв
    Я хожу с шинами 27 дней. У меня перелом без смещения. Можно ли снять резинки, что бы поесть?
  • Зависит от сложности перелома. Перед снятием следует проконсультироваться очно с лечащим хирургом.
  • 6 ноября 2020, в 10:48 Проверенный отзыв
    У меня перелом нижней челюсти. 25 дней назад мне была установлена шина и проведён остеосинтез. Первый снимок в день после операции, повторно снимок сделан спустя 25 дней (снимок № 2). Можно ли уже снять шину? На какой стадии сращение кости?
    Комментарий №180149 Комментарий №180149
  • Процесс репозиция положительный. В случае сложного перелома шина устанавливается не меньше, чем на один месяц.
  • 1 ноября 2020, в 18:44 Проверенный отзыв
    У меня уже 12-день стоит шина. Сколько обычно носят шины? Сколько она ещё должна стоять у меня?
    Комментарий №180146 Комментарий №180146
  • В случае перелома не менее трех недель.
  • 3 июня 2020, в 18:27 Проверенный отзыв
    У меня перелом мыщелкового отростка нижней челюсти слева со смещением фрагментов. 1 мая надели шины, 14 мая провели остеосинтез челюсти с титановыми пластинами. После операции прошло 15 дней можно мне уже снимать резинки или есть опасность, что будет смещение?
  • Нет, нельзя снимать межчелюстную тягу, так как отломки могут сместиться. Шина должна быть установлена не менее чем на 21 день.
  • 1 июня 2020, в 0:59 Проверенный отзыв
    У меня перелом челюсти. Поставили шины и заклеили. Для чего заклеивают? Через, сколько снимают шины? Врач должен сделать снимок, чтоб посмотреть зажили или нет? Врач не сказал, что второго числа будет снимать и будет заново ставить шины или это зависит от того как срослись?
  • Отломки при переломе сопоставляют и шинируют для стабилизации. Шины устанавливают не менее чем на 21 день.
  • 9 апреля 2020, в 2:14 Проверенный отзыв
    19 марта я упал и сломал челюсть, перелом в двух местах на нижней челюсти. 20 марта мне наложили шину. Смещения нет. 13 апреля на приём, это уже 25 дней будет, как я её ношу. Могут ли мне снять шину?
  • Да, если по рентгеновскому снимку определится костная мозоль, то шину могут снять.
  • 28 января 2020, в 20:14 Проверенный отзыв
    У меня перелом нижней челюсти без смещения. Мне поставили шину 20 декабря 2019 года. Когда можно снимать шину?
  • Это все индивидуально. Доктор сможет сказать, только при осмотре в полости рта.
  • 11 декабря 2019, в 13:38 Проверенный отзыв
    Хожу с шиной 2 недели и 3 дня. Можно снимать резинки с шины?
  • Нет, чтобы не спровоцировать формирование ложного сустава и неправильное сращение костей челюсти. Самостоятельно не снимать нельзя, только после осмотра стоматолога-хирурга.
  • 31 августа 2019, в 17:51 Проверенный отзыв
    У меня перелом челюсти. Сколько ходить в шинах?
  • Шины при переломе челюсти устанавливают сроком не менее трех недель. После делают повторную рентгенограмму для уточнения возможности снятия или продления срока.
  • 2 августа 2019, в 18:22 Проверенный отзыв
    У меня трещина нижней челюсти. Я хожу в шинах 15 дней. Уже можно снимать шины?
    Комментарий №177551
  • Нет, нельзя так рано снимать шины, так как может произойти смещение отломков. Минимальный срок 21 день.
  • 31 июля 2019, в 21:05 Проверенный отзыв

    Был перелом челюсти со смещением, 21 июня была операция. Вчера сняли просто резинки. Через неделю сказал шины снимут, снимок не делали, так осмотрел, сказал, что кость схватилась. Не подскажите, рот не могу открыть до конца, больно как будто что-то мешает и больно?

  • 25 июля 2019, в 19:02 Проверенный отзыв
    У меня перелом челюсти в двух местах со смещением. Хожу с шинами уже три недели. Можно ли снимать шины?
  • Самостоятельно их снять, однозначно, нельзя. Вы должны обратиться к стоматологу-хирургу. Врач под контролем рентгеновского снимка определит наличие костной мозоли и даст рекомендации, если возможно, то снимет шины.
  • 13 июня 2019, в 18:20 Проверенный отзыв
    У меня 18 мая операция была, так как случился перелом челюсти. Когда можно снимать шины?
    Комментарий №177048 Комментарий №177048 Комментарий №177048
  • Не ранее чем через месяц, но определиться можно по повторным рентгеновским снимкам.
  • 6 июня 2019, в 22:08 Проверенный отзыв

    У меня справа нижняя челюсть сломана. Смещений нет. Могу ли на 23 день снять шинирование.

  • 30 мая 2019, в 13:07 Проверенный отзыв
    У меня сломана нижняя челюсть со смещением. 2 мая мне сделали операцию, поставили шины. 30 мая сделали рентген снимок. Шины не сняли. Срослась ли у меня челюсть, есть ли уже мозоль? Можно ли снять резинки?
    Комментарий №176956 Комментарий №176956 Комментарий №176956 Комментарий №176956
  • Отломки сопоставлены хорошо, но оценить посредством фото рентгенограммы начало формирования костной мозоли невозможно. Фото не передает полноценно качество снимка. Как правило, в течение трех недель мозоль формируется, но снимать межчелюстные тяги нельзя без клинической оценки нельзя, так как в случае сложного перелома может произойти смещение отломков.
  • 12 мая 2019, в 16:15 Проверенный отзыв

    Добрый день. У меня сломана челюсть в трёх местах, с права с лева и с переди по середине. Поставили шины вечером когда обратился. По-моему резинка слишком сильно натянута, ломит зубы. Челюсть с лева с крайним зубом шевелиться отдельно, а передний зуб тоже повернулся в бок. Врач говорит это челюсть. И все нормализуется после операции. Как долго нужно носить шину? И можно ли ра

    читать далее
  • Снимать шинирующую конструкцию раньше назначенного срока не рекомендовано, так как может произойти смещение костных отломков. С такой серьезной травмой необходимо соблюдать все рекомендации для избежания серьезных последствий.

  • 12 апреля 2019, в 16:32 Проверенный отзыв

    Скажите, пожалуйста, сломал челюсть со смещением. Хожу уже 25 дней. Могу ли я уже снять шины? Лечащий врач мне говорил, что с шинами надо ходить 25 дней. В принципе уже не болит, только бывает стреляет еще.

  • Решение о снятии шинирующей конструкции принимается только лечащим врачом после детального осмотра и при необходимости после проведения дополнительной рентген-диагностики. Если снять шину раньше рекомендованного времени, есть риски возникновения серьезных осложнений.

  • 29 декабря 2018, в 11:18 Проверенный отзыв

    Перелом нижней челюсти в области суставного отростка со смещением. После шинирования прошло 20 дней, а после остеосинтеза 17. Подскажите, пожалуйста, можно ли снимать шины?

  • Возможность снятия конструкции определяет только лечащий врач, после детального осмотра и рентгенологического обследования. Шина устанавливаемая после операции предотвращает рецидив и смещение отломков. Если не следовать рекомендациям может потребоваться повторное, но уже более сложное лечение.

  • 27 ноября 2018, в 10:21 Проверенный отзыв

    У меня перелом нижней челюсти со смещением. Наложили шины в виде металлических пластин, которые закрепляются саморезами вдоль каждой челюсти. Зафиксировано металлической проволокой. Если спустя 21 день перерезать проволоку, чтоб можно было говорить нормально, но шину нижнюю снять позже?

  • Очень опасно пренебрегать рекомендациями врача при таких ситуациях, есть риск повторного смещения. Тогда весь лечебный процесс придется повторять с самого начала. Лучше обратитесь к лечащему врачу, пройдите рентгенологическое обследование и при наличии хорошей динамики врач сам снимет шинирующую конструкцию.

  • 12 октября 2018, в 22:56 Проверенный отзыв

    Можно на время самому снять резиночки стягивающие? Ломят зубы уж очень после установки новых резинок. У меня срок ношения шин уже 24 дня. Все прцедуры выполняю. Кальций две пачки скушал. 

  • Режим ношения эластических тяг подбирает исключительно лечащий врач. При несоблюдении рекомендаций возможны осложнения.

  • 6 октября 2018, в 9:35 Проверенный отзыв

    Мне сказали удалять зуб, но шинирование сделали уже. Если будут удалять зуб, заново надо шинирование сделать?

  • Существует много видов шинирования, возможно Вам просто могут отключить из связки зуб, подлежащий удалению. Если же у Вас более сложная конструкция, то ее стоит переделать в соответствии с новой ситуацией в полости рта.
  • 17 августа 2018, в 22:24 Проверенный отзыв

    Добрый день, уважаемые врачи стоматологи! У меня двойной перелом челюсти слева сверху и справа спереди. Спереди у подбородка челюсть разошлась, и мне ее врач стянул проволокой за зубы друг к другу. Только после этого установил шины и резинки. Зубы остались целы и не пришось удалять. Сколько в таком случае нужно носить шины, и правильно ли врач сделал? Спасибо.

  • Состояние заживления можно оценить по рентгеновскому снимку. Как правило, шины устанавливают на 3-4 недели. В тяжелых случаях на более длительный промежуток времени.

  • 17 июля 2018, в 15:32 Проверенный отзыв

    Сломана челюсть, точнее 2 трещины, без смещения. Врач одел шины, хожу 18 дней. Хочу снять, боли нет. Причина - работа.

  • Без оценки рентгеновского снимка и определения костной мозоли снимать шины не рекомендуется, тем более самостоятельно.

  • 9 июня 2018, в 21:42 Проверенный отзыв

    Сломал 24 мая челюсть без смещения. 5 июня сделали операцию, надели шины и вырвали зуб. Сколько минимум без последствий нужно ходить в шине? Больше не могу, хочу снять, есть не могу совсем, кроме воды или что-то в этом роде. Отверствия нет никакого, чтобы проходила пища. Если все снять, что будет? Спасибо.

  • Ни в коем случае снимать шины раньше срока как минимум 21 день нельзя, если Вы снимите, то репозированные отломки сместятся, прогноз неблагоприятный.

  • Подскажите, пожалуйста, а как быть в моем случае? Перелом справа нижней челюсти со смещением, обратилась сразу, сделали операцию и поставили титановую пластину. 3 августа операция, а 22 августа мечтаю снять шины. Можно ли это сделать? Чувствую себя хорошо.

  • Необходимо оценить процесс заживления и формирования костной мозоли по рентгеновскому снимку. Как правило шины накладывают на 3-4 недели.

  • 16 мая 2018, в 12:24 Проверенный отзыв

    У меня перелом нижней челюсти со смещением, сегодня 8 день, губы палопались, подбородок не чувствуется. Это нормально?

  • Это, конечно, не нормально, но такие осложнения вследствие серьезной травмы имеют место быть. Для уменьшения сухости губ необходимо их смазывать гигиенической помадой или жирным кремом. Нарушение чувствительности связано, вероятнее всего, с отёчностью мягких тканей и блокированием нервов.

  • 20 января 2018, в 18:19 Проверенный отзыв
    Меня сделали шинирование. Сколько дней можно ходить с перевязкой?
  • Без клинического осмотра полости рта судить невозможно. Вам необходимо обратиться к стоматологу-хирургу.
  • 10 января 2018, в 16:58 Проверенный отзыв

    У меня перелом нижней челюсти со смещением. 5 дней назад наложили шины и все это время нижняя губа онемевшая, это нормально?

  • В случае перелома могли частично пострадать нервные окончания, если травма не сильно задела нервы и репозиция выполнена правильно, то чувствительность постепенно вернется, но это длительный процесс, который может занять до 12 месяцев. Безусловно, это ненормально, вам необходимо сообщить об этом стоматологу-хирургу.

  • Да, лицевой нерв задет просто, через несколько месяцев оживет.

  • 23 ноября 2017, в 2:20 Проверенный отзыв

    Сломал челюсть с правой стороны. Сказали можно снять 26-го ноября. Можно ли снять на три дня раньше?

  • Фактически - три дня не большой срок, но перед снятием шин, в любом случае, врач должен оценить состояние тканей в области перелома на рентгеновском снимке.

  • 17 ноября 2017, в 3:38 Проверенный отзыв

    У меня перелом нижней челюсти слева. Мне 16лет. Хожу уже 18 дней. Можно ли шины снять раньше? Все зубы на месте, кроме одного. Шины уже расслабляются. Дайте совет.

  • Нет, шины рекомендуется носить не меньше месяца, если снять раньше, возможны осложнения. Обратитесь к стоматологу-хирургу, проводившему репозицию челюстей, он заметит эластическую тягу.

  • Александр! Поскольку сама только месяц назад сняла шины, послушайте добрый совет, НЕ СПЕШИТЕ ничего снимать, минимум месяц, поспешите, что то не дай Бог пойдет не так, сместится, или еще что (кость пока слаба) можно остаться кривым на всю жизнь, а это Ваше лицо!

  • Самый минимальный срок 25 дней. Потерпи, ещё очень рано.

  • 15 ноября 2017, в 21:28 Проверенный отзыв

    Здравствуйте! Я бы хотел уточнить как происходит процесс снятия шин?

  • В случае перелома репозицию челюстей проводят с помощью шин Тигерштедта. Две шины - одна на верхнюю челюсть (крючки обращены вверх), другая на нижнюю челюсть (крючки обращены вниз), фиксируются к каждому зубу посредством металлической лигатуры, затем фиксируют межчелюстные тяги (резиночки). Снятие проходит в обратном порядке, сначала снимают резиночки, затем раскручивают мета

    читать далее
  • 13 ноября 2017, в 23:52 Проверенный отзыв

    Подскажите пожалуйста, при двойном переломе со смещением нижней челюсти, на какой неделе можно снять резинки? И вообще можно ли это сделать?

  • Не раньше чем через месяц, но более точно о сроках может рассказать врач после оценки нового рентгеновского снимка, спустя месяц после травмы.

  • У меня такой же перелом, мне 22 сентября поставили шины, 27 октября сняли, (а резинки врач категорически не разрешал трогать!, тем более при смещении, чревато!) но делали шинирование у нас в Королеве, а снимали в челюстно-лицевой хирургии в Москве, мой лечащий хирург усомнился, а там главврач посмотрел и сказал снимать.

  • 10 ноября 2017, в 21:04 Проверенный отзыв

    Я сломал челюсть. Сегодня 5 недель, но мне не снимают. Проблема что в линии перелома зуб мешает. Вот что делать в таких случаях, может дольше ждать? Заранее спасибо.

  • Зубы, расположенные в области перелома и мешающие нормальной репозиции и фиксации отломков челюсти, подлежат удалению.

  • 15 августа 2017, в 12:50 Проверенный отзыв

    Сломал нижнюю челюсть справа со смещением. Сделали операцию, вставили спицу. Сделали шинирование, хожу уже так 11 дней. Чувствую, что скоро уже умру от голода. Лечащий врач посоветовал 6 недель, но это очень много на мой взгляд. Челюсть уже не болит, но разболелись почти все зубы, они все расшатались. Подскажите, пожалуйста, долго ли ходить в шинах?

  • Уважаемый Филипп! Минимальный срок репозиции отломков - 6 недель. Соблюдайте назначения врача во избежание осложнений.

  • 11 августа 2017, в 12:40 Проверенный отзыв

    У меня перелом нижней челюсти в районе уха. Месяц отходил в шинах. Теперь болит зуб где именно врач вкрутил шуруп, по ходу нерв задел. И когда ем, болит место, где был перелом. Скажите, пожалуйста, это должно пройти, или нужно чт-то предпринимать?

  • Уважаемый Руслан! Необходимо сделать компьютерную томографию, для того чтобы понять - не задеты ли винтом какие-то структуры челюсти или зубы. По томографии будет понятно, какая дальнейшая тактика лечения целесообразна.

  • 6 августа 2017, в 0:36 Проверенный отзыв

    Перелом нижней челюсти. 25 июля наложили шины, 27 июля сделан остеосинтез. Очень воспалились десны. Через сколько после операции можно снимать шины? Заранее спасибо.

  • Уважаемая Евгения! Минимальный срок ношения шин - 6 недель. За это время произойдет первичная остеоинтеграция.

  • 19 июля 2017, в 16:51 Проверенный отзыв

    У меня неполный перелом нижней левой части челюсти без смещения. 3 июля сделали шинирование, 13 поменяли резинки. Хожу уже 17 дней. Боли не беспокоят, только зуб крайний, который вышел со своего места при ударе и изменился прикус, на место он не встал, как обещал мне врач. И из-за этого зуба начали болеть мышцы на лице, и опух лимфоузел именно слева. Резинки снимаю иногда для

    читать далее
  • Уважаемая Наталья! Снимать шины раньше нельзя, это приведет к осложнениям. Вам необходимо сделать снимок ОПТГ для того, что бы диагностировать состояние всех зубов. Если зуб сильно травмирован, он не восстановится. Необходима жесткая фиксация всех зубов шиной в правильном положении.

  • 3 июля 2017, в 19:29 Проверенный отзыв

    У меня перелом нижней челюсти со смещением, наложили шины. Прошло 18 дней и мне необходимо выйти на работу, чтобы поговорить. Могу ли снять резинки часов на 8, а потом обратно их одеть, или же это категорически запрещено? Хоть я и буду стараться меньше говорить и держать челюсть плотно закрытой. p.s. остеосинтез не делали.

  • Уважаемый Максим! Снимать резинки категорически запрещено. Челюсти должный быть жестко зафиксированы межчелюстными тягами. В противном случае осколки челюсти разойдутся и сращение не произойдет.

  • 31 мая 2017, в 17:39 Проверенный отзыв

    Трещина на челюсти справа. 2 дня походил в шине, снял резинки. Что будет, и можно ли обойтись?

  • Уважаемый Максим! На ваш вопрос можно ответить только после анализа компьютерной томографии и понимания локализации и объема дефекта кости.

  • 11 марта 2017, в 0:26 Проверенный отзыв
    Можно ли снять шины через 3 недели?
  • Есть много факторов, влияющих на срок ношения шин:
    -возраст (чем старше, тем дольше времени требуется для заживления перелома);
    -сложность перелома;
    - была ли проведена операция по остеосинтезу и т.д.
    Если операция остеосинтеза не была проведена, то шины можно снять на 40-50 день.
    Если остеосинтез был проведен, то на 15-20 сутки.
  • 22 февраля 2017, в 21:49 Проверенный отзыв
    Мне сломали челюсть. Я обратился в клинику, мне наложили шины «Тигерштедта» и через неделю сделали остеосинтез. Мне не хотят снимать шины еще минимум две недели, я чувствую себя нормально, ничего не болит. Можно ли мне самому снять их в другой клинике или довериться врачам и продолжать мучиться?
  • Две недели не такой уж большой срок. Думаю, стоит потерпеть и довериться врачам.
  • 6 декабря 2016, в 13:18 Проверенный отзыв
    Я занимаюсь смешанными единоборствами и в турнире сломал нижнюю челюсть. Сейчас у меня двухстороннее шинирование. Врач говорит, что нужно ходить так месяц. Смогу ли я заниматься этим спортом? Будет ли челюсть через какое-то время как прежде?
  • На этот вопрос Вам лучше ответит Ваш лечащий врач.
Вас консультируют