

















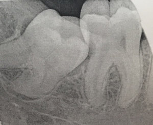
Мне 23 года. 4 дня назад у меня опухла десна, ночью припухлость прошла, но на следующий день десна опять опухла, но уже без боли. Многие из врачей говорили, что это абсцесс, на снимке ничего не понятно. Врач сказал, что это зуб мудрости, который лезет перпендикулярно последнему зубу.
Можно ли это исправить без удаления зуба? И как можно снять опухоль?
Исправить это можно только удалением зуба. Если все так, как Вы описали, то, к сожалению, в надкостнице имеется воспаление, отсюда отечность. К сожалению, зуб необходимо удалить и как можно раньше.
Обратитесь к опытному хирургу, так как удаление данного зуба сложное, и некачественное удаление может привести к печальным последствиям.
Стоматолог-имплантолог, скуловой имплантолог, хирург, челюстно-лицевой хирург
Стаж: 20 лет
Стоматолог-терапевт, детский стоматолог, пародонтолог, эндодонтист
Стаж: 23 года
Стоматолог-терапевт, детский стоматолог, ортодонт
Стаж: 14 лет