

















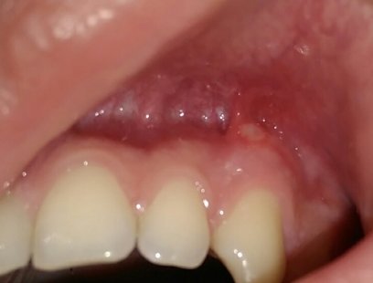
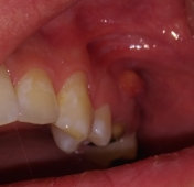
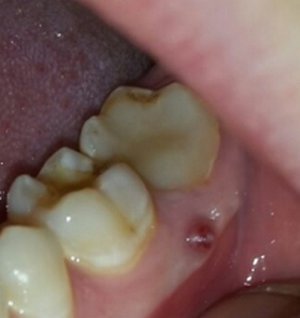
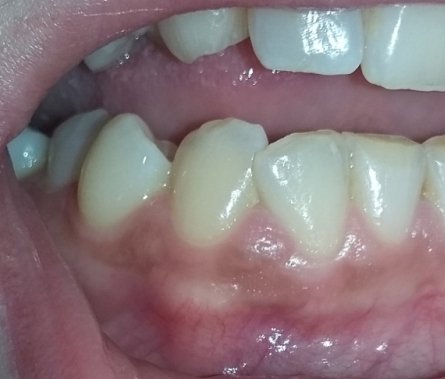
Подскажите, пожалуйста. Болела десна около недели, незначительно. Позже образовался какой-то шарик, похожий на прыщик. А после, во время еды что-то стало мешать и вот появилось непонятное новообразование из десны. На ощупь твердое, беспокоит во время приема пищи.
Подскажите, что это может быть?
Очень сложно определить, но все Ваши симптомы говорят и свищевом выходе. То есть, на верхушках зуба имеется воспалительный процесс.
Необходимо обратиться к врачу, сделать рентген-снимки и выявить точную причину.
Стоматолог-имплантолог, скуловой имплантолог, хирург, челюстно-лицевой хирург
Стаж: 20 лет
Стоматолог-терапевт, детский стоматолог, пародонтолог, эндодонтист
Стаж: 23 года
Стоматолог-терапевт, детский стоматолог, ортодонт
Стаж: 14 лет