

















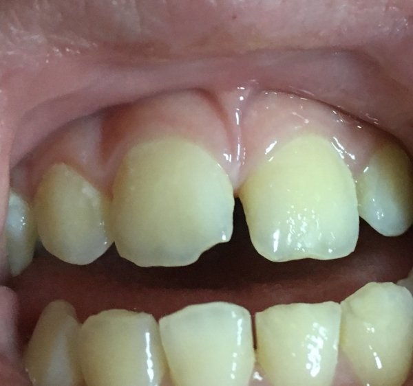
Постоянно возникало чувство дискомфорта на передних зубах, ее причиняла костная перегородка между верхними передними зубами. Удалил ее с помощью зубочистки, (думал, что что-то застряло между зубами), к сожалению, чувство дискомфорта не пропало, а на месте перегородки с внутренней части, образовалась небольшая дырочка.
Что мне делать?
Не совсем понимаю, о какой перегородке идет речь, и как вы могли ее сами удалить? Обратитесь в стоматологию на прием.
Стоматолог-имплантолог, скуловой имплантолог, хирург, челюстно-лицевой хирург
Стаж: 20 лет
Стоматолог-терапевт, детский стоматолог, пародонтолог, эндодонтист
Стаж: 23 года
Стоматолог-терапевт, детский стоматолог, ортодонт
Стаж: 14 лет