🔥 Имплантация за 3750 ₽/мес.

Надо ли удалять зуб с кистой?

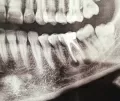
Наталия 13 ноября 2016 г.

Примерно 10 лет назад мне вылечили огромную кисту на зубе. С тех пор зуб не болит.

Недавно сделала рентген, на котором четко видно серое пятно в том месте, где, когда то была киста (на рентгене она была черная).

Мой стоматолог (не тот, что залечил кисту) говорит, что это воспаление, но оно вот уже некоторое количество лет не меняется, поэтому лучше с зубом ничего не делать. Но этот зуб лечить уже нельзя, остается только вырвать (очень специфическая пломба). Врач говорит, что удалить всегда успею.

И вот пару недель назад он заболел. Пока я ждала своей очереди на удаление, т.е. пару дней, зуб прошел сам. И теперь я не знаю что делать. Жалко удалять не болящий зуб. С другой стороны, боюсь осложнений, что-то там не то.

Что бы вы посоветовали?

Один врач вообще сказал, что это не киста, а лишь незажившая костная ткань. Однако у меня минимум 4 года это серое пятно неизменно.

Прикрепленые фото
Эксперт topdent
5.0
268 отзывов
Стоматолог-ортопед Стаж: 21 год

Ничего вам не вылечили, а причина данной ситуации в некачественном лечении каналов. Боль прошла лишь потому, что прошло обострение.

У вас именно киста и не питайтесь иллюзиями, данный зуб необходимо удалить, чтобы впоследствии было, куда ставить имплантат, так как мы все знаем, грануляция рассасывает костный объём.

Кандидат наук

Связанные услуги

Статьи по теме

  • 24 октября 2022, в 23:30 Проверенный отзыв
    Заболели зубы и голова, думала из- за зубов мудрости, так как они прорезываются. Сделали снимок. На соседнем зубе киста. Один врач сказал удалять два зуба, а второй сказал не удалять ничего. Кому верить не понятно. Что делать?
  • 24 октября 2022, в 23:31
    Отправьте снимок ответным письмом, постараемся вам помочь. Диагноз киста сейчас ставят редко, как правило, на фоне периапикального воспаления происходит деструкция костной ткани. В ряде случаев возможно перелечивание зубов.
  • 12 ноября 2020, в 3:55 Проверенный отзыв
    На рентгене обнаружили кисту зуба. Стоматолог сказал, что киста большая и придется удалить зуб. Можно ли избежать удаления зуба?
    Комментарий №180188
  • Как минимум стоит попробовать полечить зуб и понаблюдать за состоянием периапикальных тканей в динамике. Рекомендуем вам обратиться к квалифицированному стоматологу-терапевту.
  • 12 ноября 2019, в 22:29 Проверенный отзыв
    Мне сказали, что в 6-ом зубе киста. Стоит ли удалять 6-й зуб?
    Комментарий №178424
  • К сожалению, данный снимок недостаточно качественный, чтоб было принято решение об удалении. В ряде случаев возможно перелечивание зуба, с последующим протезированием. Однозначно судить можно исходя из трехмерного снимка и клинического осмотра полости рта.
  • 1 октября 2019, в 20:14 Проверенный отзыв
    Все доктора утверждают, что нужно удалять левую верхнюю шестерку и семерку, и правую шестерку. Справа гранулемы, слева киста. Так ли это? Можно еще походить с такими мостами?
    Комментарий №178082
  • Для принятия решения об удалении, необходимо оценить полный трехмерный снимок, во всех плоскостях. Но, определённо, эти конструкции следует снять, пролечить весь кариес и решить по КЛКТ. По поводу шестых зубов: 26-й зуб, с кистой подлежит удалению, 16-й зуб требует более детального осмотра.
  • 28 апреля 2019, в 14:00 Проверенный отзыв
    На снимке у меня киста на 8-ом зубе. Нужно удалять зуб?
    Комментарий №176697
  • Сказать точно киста это или нет можно только после гистологического исследования. На данном снимке за верхушкой корня 8-го зуба есть очаг воспаления (апикальный периодонтит), зуб, скорее всего, придется удалить. Проконсультируйтесь очно с стоматологом-хирургом.
  • 28 февраля 2019, в 19:05 Проверенный отзыв
    Обнаружена киста на 46-м зубе. Врачи предложили метод лечения, но потом сводятся к тому, что лучше его удалить, затем предлагают имплант. Возможно ли спасти зуб?
    Комментарий №176089
  • К сожалению, гарантировать однозначно спасение зуба врачи не могут, так как разрежение костной ткани обширное, но можно попытаться сохранить зуб. Если врачу удастся пройти каналы полностью и запломбировать, то за зубом надо будет наблюдать в динамике по рентгеновским снимкам через 3 и 6 месяцев. Уменьшение очага будет свидетельствовать о положительной динамике, увеличение или читать далее
  • 2 сентября 2018, в 0:10 Проверенный отзыв
    Внезапно стал болеть зуб при надавливании на него. Сам зуб с пломбой. По снимку врач сказал, что воспаление пространства возле канала зуба, там что-то вроде кисты. Больше ничего не объясняя, отправили на удаление. От удаления отказалась, боль не стихает. Можно ли сберечь зуб или нет?
  • Без клинического осмотра и оценки рентгеновского снимка однозначно сказать невозможно. В случае воспалительных процессов в периапикальных тканях возможно перелечивание зуба, зачастую наблюдается положительная динамика. Если имеется киста, то зуб подлежит удалению или, если размеры позволяют резекциЯ верхушки корня.
  • 15 июня 2018, в 12:22 Проверенный отзыв
    Правда ли, что зуб с кистой не лечится, а удаляется?
  • Необходим осмотр и прицельный рентгеновский снимок зуба. Если есть показания, такие как большой размер очага воспаления, который не поддаётся эндодонтическому перелечиванию, мало здоровых твёрдых тканей зуба для последующего восстановления зуба, подвижность зуба, тогда зуб удаляют. Проконсультируйтесь очно со стоматологом-терапевтом.
  • 15 марта 2018, в 17:58 Проверенный отзыв
    На осмотре у стоматолога сказали удалять зуб, так как имеется киста. Действительно ли это нельзя вылечить?
    Комментарий №172690
  • По рентгеновскому снимку 36 зуб подлежит удалению, так как у верхушек корней зубов есть очаги воспаления, деструкция костной ткани. Эндодонтическое перелечивание в данном случае уже не поможет. Причиной воспаления, скорее всего, стал недостаточный герметизм коронковой части, то есть зуб надо было покрывать коронкой, а не восстанавливать пломбой. Сейчас, после удаления, наибол читать далее
  • 22 января 2018, в 15:29 Проверенный отзыв
    На 46 зубе киста, ее пытались вылечить. Зуб не болит, не шатается. Большинство врачей склоняются к тому, чтобы ставить штифт и коронку, но некоторые предлагают удалить и ставить имплантат, так как плохой канал. Что делать с 46 зубом?
    Комментарий №172668
  • По данному рентгеновскому снимку можно сказать, что в области верхушек корней 46 зуба есть очаги воспаления. Если эндодонтическое перелечивание не дало положительного результата и воспаление не прошло, тогда зуб подлежит удалению, так как при обострении процесса (апикального периодонтита) зуб начнет беспокоить и его придется удалить. Покрыв зуб коронкой, гарантий на лечение и читать далее
Вас консультируют