

















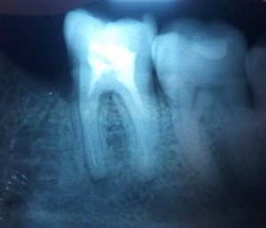
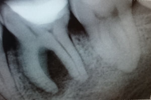
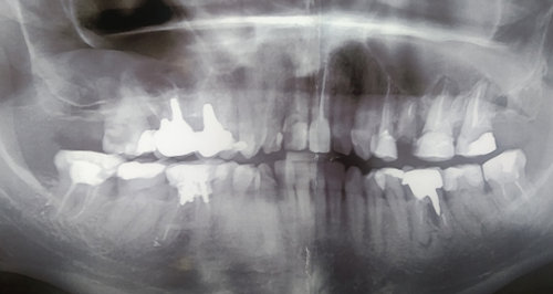
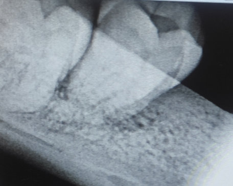
У меня зуб болит. Я его лечила 3 года назад. Мне поставили штифт в декабре 2015, он опять заболел, сделали снимок, оказалось, что он был плохо пролечен. Сняли пломбу, смогли пройти только один канал, во втором канале материал, третий мне врач не смог пройти (инструмент упирался в десну). Тогда еще врач сказал, что этот зуб только удалять, я не согласилась на удаление и мне его просто перекрыли пломбой, теперь опять побаливает.
Как думаете, нужно удалять или его еще можно спасти?
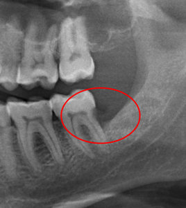
В зубе имеется перфорация, к сожалению, такой зуб спасти и сохранить невозможно.
Стоматолог-имплантолог, скуловой имплантолог, хирург, челюстно-лицевой хирург
Стаж: 20 лет
Стоматолог-терапевт, детский стоматолог, пародонтолог, эндодонтист
Стаж: 23 года
Стоматолог-терапевт, детский стоматолог, ортодонт
Стаж: 14 лет