

















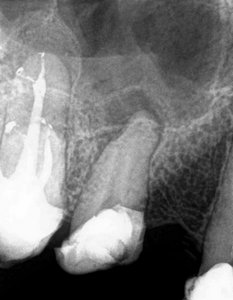
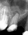
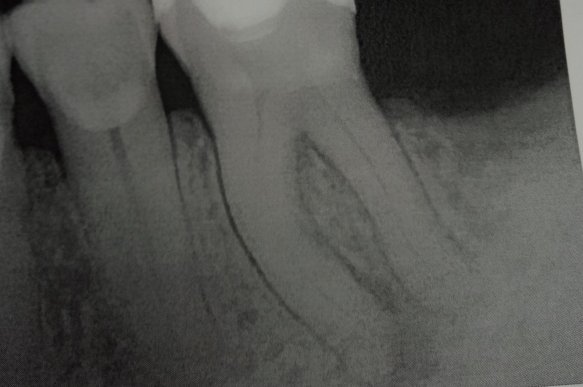
Два года назад опухла десна, зуб начал шататься, врачи сказали, что нужно вырвать зуб, но я не согласился. Потом они сделали надрез и почистили десны от гноя, потом, через несколько месяцев зуб затвердел. Спустя два года начал побаливать по ночам, сегодня сделали рентген, врач говорит нужно вырвать зуб, но мне не хочется.
Что вы посоветуете? Можно как-то сохранить зуб?
Возможно в зубе имеется обширный воспалительный процесс, а также воспаление по периодонтальной щели. Данный зуб скорее всего необходимо удалить.
Стоматолог-имплантолог, скуловой имплантолог, хирург, челюстно-лицевой хирург
Стаж: 20 лет
Стоматолог-терапевт, детский стоматолог, пародонтолог, эндодонтист
Стаж: 23 года
Стоматолог-терапевт, детский стоматолог, ортодонт
Стаж: 14 лет