

















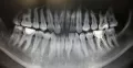
Мне 26 лет, с детства волновал вопрос кривых зубов. Зубы очень слабые и постоянно подвергаются заболеванию кариесом, в следствии чего, почти каждый зуб с пломбой.
Возможно ли выровнять такие зубы, если зуб, который во втором ряду, и передний правый резец мёртвые? Фото прилагаю. И если да, то не повредятся ли, и не отпадут ли пломбы при установке и в процессе выравнивания?
Конечно, причина постоянного образования кариеса — это скученность зубов. Естественно, Вам требуется именно ортодонтическое лечение.
Все получится, не переживайте, запишитесь на прием к ортодонту.
Стоматолог-имплантолог, скуловой имплантолог, хирург, челюстно-лицевой хирург
Стаж: 20 лет
Стоматолог-терапевт, детский стоматолог, пародонтолог, эндодонтист
Стаж: 23 года
Стоматолог-терапевт, детский стоматолог, ортодонт
Стаж: 14 лет