

















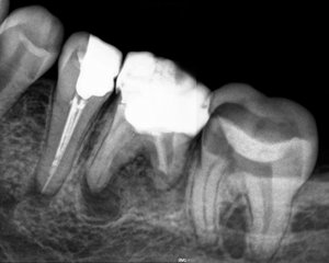
У меня обнаружили 2 кисты на 36 зубе. На одном корне киста маленькая, на втором большая. Снимок прилагается. Врач-терапевт сначала сказал, что нужно удалить кисту, а потом сказал лечить. Просверлил зуб, оставил открытым, сказал полоскать солевым раствором и принимать Кетарол.
У меня возникли сомнения по этому поводу. Посоветуйте, что лучше сделать: продолжить лечение таким методом, вырезать кисту или удалить зуб? Высока ли вероятность того, что могут плохо запломбировать каналы и инфекция снова начнёт развитие? Если сейчас спасти зуб, то с годами всё равно его нужно будет удалять?
Не мучайте себя и не тратьте время и деньги, зуб удаляется.
Стоматолог-имплантолог, скуловой имплантолог, хирург, челюстно-лицевой хирург
Стаж: 20 лет
Стоматолог-терапевт, детский стоматолог, пародонтолог, эндодонтист
Стаж: 23 года
Стоматолог-терапевт, детский стоматолог, ортодонт
Стаж: 14 лет