Седьмой зуб слева сверху. Сам зуб при накусывании не болит. Врач говорит, что там ничего нет на корнях, но он меня беспокоит. Иногда его как бы распирает. Мне давит на лоб. Боль в ухе. Как будто хочет где-то выйти гной. Врачи в поликлинике говорят гноя нет. Если дотрагиваться до корня зуба (пальцем за языком со стороны щеки) в момент обострения, то испытываешь пронизывающую боль до уха. Мне говорят, есть карман. Странно, что боли как при пульпите я не испытываю. Бывает затишье. Потом неожиданно как бы начинает распирать голову, давит в висок, боль в ухе, и как будто что-то начинает давить на корень зуба. Как будто скапливается какая-то жидкость. Свищей пока нет. Болит это все в течение 5 месяцев. По трехмерному снимку врач ничего не нашла на седьмом зубе.
С правой стороны пломбировочный материал не беспокоит уже лет 20. ЛОР смотрел ухо. Сказал там все нормально.
Разве может так беспокоить карман? По снимку зуб нормальный? Костная ткань там нормальная? Удалять его надо или нет? Или дело еще в чем-то? Мог ли в зубе погибнуть нерв? Что можно сделать?
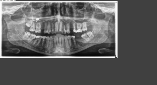
На снимке в области 7-го верхнего левого зуба (2.7) костная ткань не имеет изменений. Насколько позволяет качество снимка оценить ситуацию, верхушка корня/корней 2.7 зуба находится в верхнечелюстной пазухе. При таком анатомическом строении, любые воспалительные процессы у верхушки корня данного зуба будут провоцировать воспаление верхнечелюстной пазухи — одонтогенный гайморит, о чем могут свидетельствовать такие жалобы, как чувство распирания в области верхней челюсти, лба, иррадиация боли к уху и др.
Кроме того, возможной причиной Ваших жалоб может являться 6-й зуб на этой же стороне.
В проекции правой верхнечелюстной пазухи отмечается участок просветления, возможно, это просто дефект снимка.