

















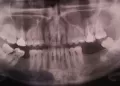
Мне 18 лет. Сначала болел зуб, далее образовалась шишка. Я не могла есть на одной стороне. Десна в нижней части в самом конце начала отрываться, болело. Далее перестало. Сейчас в десне маленькая дырочка, там торчит белая маленькая штука, жесткая и похожая на зуб. У меня всего 29 зубов.
Возможно ли что это растёт зуб мудрости или это что-то другое?
Да, вполне возможно, это прорезывается 8-й зуб.
Для облегчения его прорезывания можно обратиться к стоматологу-хирургу для рассечения десны, таким образом, зуб прорежется быстрее и без осложнений.
Стоматолог-имплантолог, скуловой имплантолог, хирург, челюстно-лицевой хирург
Стаж: 20 лет
Стоматолог-терапевт, детский стоматолог, пародонтолог, эндодонтист
Стаж: 23 года
Стоматолог-терапевт, детский стоматолог, ортодонт
Стаж: 14 лет