🔥 Имплантация за 3750 ₽/мес.

Лечение зубов перед протезированием

Кристина13 октября 2015 г.

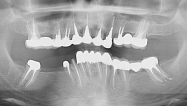
2 дня назад была у стоматолога, у меня на 6-ке внизу стояла коронка. Она спала, там была половина зуба и остальное пломба, когда коронка спала, то отломалось еще пол той стороны зуба.

У стоматолога была, снимок сделала, корни сказал хорошие, удалять не надо, как он посмотрел зуб, то отпала пломба, держаться не на чем было, сказал ставить вкладку и на неё коронку. Начал подготавливать зуб, каналы прочистил, остаток зуба сточил, сделал слепок для вкладки и назначил следующий визит через неделю.

В тот день зуб не тревожил, на следующий день в обед начал немного болеть, к вечеру боль усилилась, выпила таблетку кетанов, помогло на пол ночи, ночью опять боль, выпила еще таблетку, с утра ситуации повторилась. Я посмотрела на зуб, такое впечатление, будто там где зуб внизу, десна опухла немного.

Эксперт topdent
5.0
268 отзывов
Стоматолог-ортопед Стаж: 21 год

В данном зубе имеются три очевидные проблемы:

  • имеется воспаление на верхушке корня (периодонтит), который подлежит лечению перед установкой вкладки;
  • наблюдаются изменения по бифуркации;
  • начальная стадия кариеса корня.

Все симптомы говорят о том, что необходимо сменить доктора и более внимательно и качественно отнестись к лечению данного зуба. Необходим детальный развернутый снимок с разных ракурсов. Необходимо сейчас обратиться к врачу и лечить обострение периодонтита и только потом заниматься протезированием. В противном случае данный зуб вы можете потерять. 

Кандидат наук

Связанные услуги

Статьи по теме

  • 12 апреля 2024, в 20:40 Проверенный отзыв
    Врач мне рекомендовал перед протезированием сутки не принимать пищу, но я диабетик. Что делать?
  • 12 апреля 2024, в 20:41
    Вы можете покушать, основное заболевание в приоритете.
  • 8 марта 2020, в 1:37 Проверенный отзыв
    Мост из коронок. Нет одного зуба. Можно ли на так подготовленный зуб поставить мостовидный протез?
    Комментарий №179264
  • Нет, не рекомендуется, так как зуб может начать болеть, что приведет к необходимости снятия конструкции.
  • 13 декабря 2019, в 13:10 Проверенный отзыв
    Нужна консультация по ортопедии (весь рот кариеса, мосты, коронки, пломб). Что нужно панорамный снимок или личное присутствие?
  • В идеале требуется трехмерный снимок КЛКТ и, безусловно, личное присутствие пациента.
  • 9 декабря 2019, в 14:48 Проверенный отзыв
    У меня на верхней челюсти остался один хороший зуб. Врач говорит, что надо его удалить, лучше будет держаться протез. Что делать?
  • Необходим осмотр этого зуба, очная консультация. Как правило, один зуб удаляют, так полный съемный протез за счёт вакуум-эффекта (присасываемости к нёбу) держится лучше, способствует быстрому привыканию к нему и меньше доставляет дискомфорт, чем частично-съёмный протез.
  • 21 октября 2019, в 22:59 Проверенный отзыв
    Какое нужно лечение перед протезированием и сколько может это стоить?
    Комментарий №178225
  • Снимок смазан, почерк не разобрать. Необходим клинический осмотр и оценка рентгеновского снимка.
  • 14 октября 2019, в 17:07 Проверенный отзыв
    Мне на зуб нужно поставить пломбу, потом металлическую коронку. В данном случае какую лучше пломбу ставить светоотражающую или можно поставить цементную?
  • В зависимости от объёма разрушенных тканей зуба, выбирается метод восстановления культи. Как правило, под металлическую/металлокерамическую коронку, культю зуба восстанавливают металлической вкладкой или укрепляют стекловолоконным штифтом. Под коронку можно ставить стеклоиономерный цемент. Он немного дешевле, чем композитная пломба. Но при использовании композитных материалов читать далее
  • 13 июня 2019, в 23:15 Проверенный отзыв
    Наконец - то решилась на протезирование. С чего начинать?
  • Необходимо сделать снимок, который называется ортопантомограмма, и обратиться к квалифицированному стоматологу-ортопеду. Согласно клинической картине и снимку он проинформирует о возможных вариантах протезирования.
  • 2 июня 2019, в 20:39 Проверенный отзыв
    Я живу в маленьком поселке. И то, что предлагают местные врачи, меня не совсем устраивает. Хотелось бы услышать мнение стороннего специалиста. Помогите определиться с планом протезирования?
    Комментарий №176991
  • Исключительно по ортопантомограмме составить план лечения невозможно. Требуется клинический осмотр и оценка прикуса. Но, совершенно однозначно, перед протезированием требуется терапевтическая реабилитация. Зубы 17-й, 16-й, 15-й, 14-й, 24-й, 25-й, 26-й, 36-й, 35-й, 46-й, 47-й оценить состояние на прицельном рентгеновском снимке. Вероятнее всего потребуется перелечивание корнев читать далее
  • 30 апреля 2019, в 12:23 Проверенный отзыв
    Как происходит процесс установки зубного протеза, а точнее удаляют то что там осталось от зуба, а далее...?
  • Конструкция протеза и необходимость удаления отдельных зубов зависит от клинической картины. После подготовки полости рта снимают слепки и отправляют в зуботехническую лабораторию. Техник изготавливает модели, гипсует их, а артикулятор или окклюдатор и изготавливает конструкцию. Затем врач ее припасовывает в полости рта.
  • 21 мая 2018, в 1:39 Проверенный отзыв
    Зуб двойка подготовлен для вкладки под мост. Есть нюансы. Возможно ли проделать запланированную процедуру?
    Комментарий №173385
  • По данному рентгеновскому снимку зуб подлежит удалению, так как есть расширение периодонтальной щели, воспалительный процесс за верхушкой корня зуба, некачественно запломбированный корневой канал, мало здоровых твёрдых тканей зуба. Восстановление вкладкой и коронкой недолговечно в данном случае.
  • 14 мая 2018, в 16:31 Проверенный отзыв
    Нужно ли удалять нездоровые зубы для установки съемного протеза?
  • Зубы удаляются по показаниям. Если они не подлежат терапевтическому лечению и последующему восстановлению, тогда их следует удалить, так как это источник хронической инфекции в организме.
  • 11 мая 2018, в 12:04 Проверенный отзыв
    Сделали КТ, говорят, перед протезированием нужно удалить 6 зубов и поставить импланты. Очень не хочется удалять, да и импланты не известно, как себя поведут. Что делать? Удалять зуб или нет?
    Комментарий №173552
  • Если речь идёт о 36-м зубе, то в периапикальных тканях которого имеется воспалительный процесс, то его можно попытаться перелечить.
  • 9 февраля 2018, в 18:20 Проверенный отзыв
    Как лучше подготовить к протезированию мостом 15-й и17-й зубы. Стекловолокно или вкладка?
  • Не совсем понятна постановка вашего вопроса. Если речь идёт о протяженности моста от 15-го до 17-го зубов, с отсутствующим 16-м, и на 15-м и 17-м зубах имеется объемные пломбы с тонкими стенками. В этом случае лучше провести усиление тканей вкладкой или стекловолоконным штифтом, для того чтобы не произошло сколов стенок зуб. Если зубы, которые берутся под опору живые или имею читать далее
  • 1 июня 2017, в 19:56 Проверенный отзыв
    В конце 2008 года были запломбированы зубные каналы под установку "моста". Месяц назад стали болеть зубы под коронками (мостом). При рентгеновском исследовании – не допломбированы каналы. Возможно ли сохранить зубы?
  • Без рентгеновского снимка трудно сказать о прогнозе дальнейшего лечения. Если зубы Вас начали беспокоить, возможно у верхушек корней зубов есть воспалительный процесс. Если он не больших размеров и поддаётся эндодонтическому лечению, то возможно перелечивание корневых каналов и сохранение зубов. Если же воспалительный очаг большой, каналы склерозированы и плохо проходимы для читать далее
  • 9 февраля 2017, в 18:52 Проверенный отзыв
    Мой врач сказал, что не нужно удалять. Готовлюсь к протезированию зубов. Зуб чувствительный к холоду, к горячему. Подлежит ли удалению зуб №11 или нет?
    Комментарий №171772
  • На корне зуба имеется воспаление. Возможно, он простоит с коронкой долгое время, и не будет беспокоить.
  • 25 января 2017, в 0:53 Проверенный отзыв
    Мне 19 лет. В детстве не лечила зубы. Сейчас нужно сделать 7 зубов верхних. На них нужно поставить, сделать мост. 6 полечить или удалить. Консультировалась с врачом, и он рекомендовал сделать все постепенно. Можно сделать все зубы сразу? Как лучше сделать?
  • Возможно, будет лучше начать с удаления, продолжить лечением, а потом уже протезирование. К тому моменту, когда лунки зубов заживут, можно будет начинать протезирование.
  • 14 ноября 2016, в 22:45 Проверенный отзыв
    4 зуб справа нижний, перелечены каналы, готовится к установке протеза. Боль сохраняется в течение трех недель. Боль ноющая, жевать не больно. С чем это связано?
    Комментарий №169315
  • Ваше беспокойство связано с выведенным материалом за верхушку корня.
  • 17 октября 2016, в 13:14 Проверенный отзыв
    Когда увидел снимки после депульпации, в них 1-2 мм не заполнен канал до конца, говорит, что надо перелечивать. У меня пародонтит. Почему ортопед отказывается от протезирования?
  • Одним из условий качественного и долговечного протезирования является качественно проведенное эндодонтическое лечение, т.е. хорошо пролеченные каналы зуба. При не до конца запломбированных каналах может возникнуть периодонтит. Периодонтит - это воспаление связки зуба, удерживающей его в лунке. При таких обстоятельствах нет смысла устанавливать коронку, т.к. её вскоре придется читать далее
Вас консультируют