🔥 Имплантация за 3750 ₽/мес.

У меня кривые передние зубы, что делать?

Юлия4 декабря 2013 г.

Здравствуйте, доктор! Я сильно комплексую по поводу своей внешности, у меня кривые передние зубы. Слышала, что их исправляют с помощью брекетов, но это нужно делать в 13 лет, а мне уже 25. Готова даже вырвать кривые зубы и поставить имплантанты, чтобы чувствовать себя человеком.

Эксперт topdent
5.0
5 отзывов
Стоматолог-ортопед, терапевт, ортодонт Стаж: 13 лет

Юлия, здравствуйте! Проблема кривых зубов очень распространена. У 90% людей наблюдается неправильный прикус, и приблизительно половине из них для устранения проблемы требуется помощь ортодонта.

Прикус формируется еще в раннем детстве

Причины неправильного прикуса следующие:

  • наследственность (у кого-то из родственников уже кривые зубы);
  • генетические аномалии;
  • вредные привычки в раннем детстве (ребенок долго сосал соску или пальцы рук);
  • перенесенные заболевания (например, рахит);
  • зубы сами по себе крупные и «не помещаются» в зубном ряду, идет искривление.

Полезная статья: Как должен выглядеть правильный прикус

Удалять кривые зубы не нужно. Современная ортодонтия располагает целым арсеналом средств, позволяющих успешно провести исправление неправильного прикуса как у детей, так и у взрослых.

Чаще всего в своей практике врачи используют съемные пластины и несъемные аппараты (брекет-системы), а также виниры.

Выравнивание зубов включает в себя несколько этапов:

  1. Диагностика.
  2. Санация полости рта.
  3. Лечение.
  4. Ретенционный период.

Как показывает практика, более надежными и привычными для пациентов стоматологических кабинетов являются именно брекет-системы. Они есть внешние, то есть крепятся на «лицевую» сторону зубного ряда, и внутренние, которые фиксируются на задней стенке зубов. В зависимости от сложности искривления, врачи рекомендуют их носить от полугода до двух лет, при этом проверяя, как идет процесс лечения. В отличие от съемных пластин, брекеты не доставляют неудобств во время чистки зубов, не требуют дополнительного ухода и строгого соблюдения предписаний стоматолога.

Рекомендую: Брекеты — это модно

Юлия, ваши страхи по поводу возраста беспочвенны, поскольку успешное выпрямление кривых передних зубов возможно любом возрасте. Просто, в отличие от подростков, взрослым требуется несколько дольше носить брекеты, вот и все.

Похожие вопросы

Светлана5 декабря 2013 г.
Брекеты в 25 лет

25 лет. Неправильный прикус, нижние зубы выступают вперед, верхние передние зубы кривые из-за клыков, которые их сдвинули. Можно ли поставить брекеты и будет ли от них польза в таком возрасте? Еще слышала, что после того как снимаешь их, зубы кривятся снова.

Анастасия27 октября 2013 г.
Сколько стоит исправить кривые зубы?

Добрый день. Мне22года. Зубы, у меня "наезжают" друг на друга. Можно ли мне в таком возрасте поставить брекеты/скобы? И подскажите пожалуйста цены на внешние и внутренние брекеты

Екатерина2 сентября 2013 г.
Виниры и голливудская улыбка

Добрый день, Мне 27 лет.

Хочу идеальную улыбку. Немного "расширить" челюсть. и выровнять зубы.

Вот фото зубов:

Возможно ли исправить винирами, и какими? Спасибо!

Статьи по теме

  • 13 ноября 2019, в 12:26 Проверенный отзыв
    Можно ли выпрямить нижние зубы? Если да, то, сколько примерно это будет стоить?
    Комментарий №178324
  • Да, безусловно, выпрямить нижний зубной ряд можно. Вам необходимо сделать снимок, который называется ортопантомограмма и обратиться к стоматологу -ортодонту. В очень редких случаях проводится лечение на одной челюсти, как правило, лечение проводится на обеих челюстях для создания идеальных контактов между зубами. Сумма лечения может варьироваться в зависимости от компании п читать далее
  • 29 сентября 2019, в 17:25 Проверенный отзыв
    У меня сильно выпирают и имеют неправильную форму два передних зуба. Каким способом можно избавиться от них, если не устанавливать брекеты?
    Комментарий №177936 Комментарий №177936
  • Наилучшим способом исправления эстетического недостатка фронтального отдела зубов является брекет система, так как у Вас, скорее всего, неправильный прикус и скученность зубов на верхней и нижней челюстях. Исправить форму только двух передних зубов можно также с помощью виниров и художественной реставрации композитным пломбировочным материалом.
  • 4 августа 2019, в 22:27 Проверенный отзыв
    Мне 12 лет. У меня с 6-ти лет возникла такая проблема. Один из 2-х передних зубов стал расти на соседний зуб. Что мне поставят, скобы или брекеты?
    Комментарий №177544
  • Необходим осмотр и панорамный рентгеновский снимок зубов, оценка прикуса и соотношения зубов. В первую очередь следует лечить центральные резцы так как, по фото, они поражены кариесом. После проконсультируйтесь очно со стоматологом-ортодонтом для составления плана лечения. Скорее всего, в вашем возрасте чаще всего ставят пластины, а брекеты после 14 лет, когда полностью сфор читать далее
  • 26 июня 2019, в 21:28 Проверенный отзыв
    Мне 31 год. У меня кривые передние зубы, в детстве не задумывался. Сейчас чувствую себя не в своей тарелке. Хочу кривые зубы вырвать и вставить не съёмные импланты. Хочу узнать цену, и стоит ли это делать?
    Комментарий №177173
  • Необходим осмотр и панорамный рентгеновский снимок зубов. Удалять здоровые зубы не нужно. У Вас, по фото, скученность зубов из-за нехватки места в зубном ряду и недоразвитие челюстных костей. Следовательно, и неправильный патологический прикус. В таком случае, требуется лечение брекет-системой. Проконсультируйтесь очно со стоматологом-ортодонтом для составления плана лечения.
  • 16 июня 2018, в 16:44 Проверенный отзыв
    Хочу исправить кривизну 4-х передних верхних зубов. Можно ли исправить этот дефект не винирами, а пломбами?
    Комментарий №173587
  • Необходим очный осмотр и оценка прикуса, расчёт гипсовых моделей челюстей. Возможно, что для исправления кривизны и положения зубов понадобится брекет-система. Можно применить метод художественной реставрации зубов композитным пломбировочным материалом, но это ненадежно. Проконсультируйтесь со стоматологом-ортодонтом.
  • 13 октября 2017, в 17:19 Проверенный отзыв
    Ребенку 15 лет. У ребенка передний зуб на зуб нашел. Что лучше в этом случае для исправления искривления зуба?
  • В 15 лет, по среднестатистическим данным, все зубы уже постоянные. В период постоянного прикуса рекомендовано применение брекет-системы. Рекомендация эта связана с тем, что в данном прикусе более эффективны брекеты, а пластиночные аппараты уже не окажут должного действия.
  • 21 сентября 2017, в 19:56 Проверенный отзыв
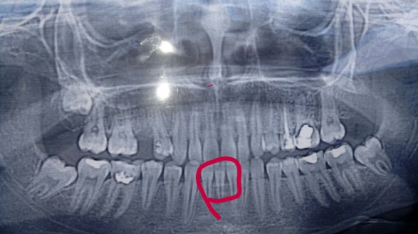
    У меня передние зубы стали кривые. Стоматолог сказал, что давят зубы мудрости. Но между ними есть расстояние, зуб на зуб не залезает, а кривые. Почему зубы стали кривые?
    Комментарий №171116
  • Восьмые зубы ("зубы мудрости") могут в Вашем случае повлиять на положение зубов. Они немного наклонены в сторону седьмых зубов. Но судя по данному снимку, между другими зубами имеются промежутки, которые вполне могут скомпенсировать положение восьмых.
    Возможно, причиной искривления обведенных Вами зубов является снижение высоты костной ткани. Возможно, в области данных зубов читать далее
  • 2 августа 2017, в 3:21 Проверенный отзыв

    Что можно сделать, чтобы выровнять зубы? Сначала нужно поставить пластину, а потом уже брекеты?

    Комментарий №170832
  • Пластинка наиболее эффективна в детском возрасте, в период молочных зубов. После прорезывания постоянных зубов показано лечение на брекет-системе. А пластинка в период постоянного прикуса малоэффективна. По фотографии сложно определить Ваш возраст, но судя по фотографии зубы уже постоянные. Поэтому можно начинать сразу с брекетов.
  • 7 июля 2017, в 21:50 Проверенный отзыв
    Мне очень не нравятся передние зубы. Что мне делать может?
    Комментарий №172178
  • С патологическим прикусом нужно обратиться к врачу стоматологу-ортодонту. Возможно, понадобятся снимки ОПТГ и ТРГ в боковой проекциях. Делаются оттиски, отливаются гипсовые модели и на основании всех данных проводится диагностика и подбирается тактика лечения
  • 1 апреля 2017, в 3:28 Проверенный отзыв
    Мне 18 лет, я мальчик, у меня очень кривые зубы. Что можно с ними сделать? Как будет проходить лечение, чем лучше их сделать ровными и хочу узнать примерную цену, за всё лечение? К чему мне готовится и сколько примерно денег откладывать?
    Комментарий №172904 Комментарий №172904
  • Во всех стоматологических клиниках установлены свои цены, поэтому лечение может отличаться в сумме, и мы не можем дать Вам точный ответ на этот вопрос. В первую очередь, Вам необходимо решить какой именно метод лечения вы предпочтете, и только отталкиваясь, от этого можно будет говорить о приблизительных ценах. Рекомендуем Вам обратиться к стоматологам: терапевту, ортопеду и читать далее
  • 7 февраля 2017, в 19:22 Проверенный отзыв
    2 передних зуба кривые во внутрь. Сколько по времени займет времени, и сколько будет стоить, чтобы сделать их прямыми?
  • Если брекеты, то средние сроки ношения 1 - 1,5 года и стоимость от 85 000 тыс. на весь период ношения. Если виниры, то от 15 000 за 1 зуб, изготовление от 2 до 5 дней.
  • 25 декабря 2016, в 21:26 Проверенный отзыв
    Мне уже 15 лет. Передние зубы поменялись, а задние все еще молочные. А те, которые поменялись кривые. Что делать?
  • С проблемами, связанными с неправильным положением зубов, обращаются к ортодонту, который исправит положение зубов с помощью пластинки, брекет-системы и т.д.
    Для более подробной информации необходим рентгеновский снимок (ОПТГ), где можно оценить состояние зачатков постоянных зубов.
  • 9 ноября 2016, в 16:26 Проверенный отзыв
    У меня ужасные зубы. Всегда боялась ходить к стоматологу лечить их. Но уже повзрослела и поняла, что это ужас вот так ходить.

    У меня передние клыки расположены наверху на десне, хочется их удалить, но начиталась всего, что нельзя и т.д.
    Много ли зубов надо лечить?
    Комментарий №169292
  • Вам необходимо обратится к стоматологу - ортодонту на консультацию, ничего удалять не нужно, все рекомендации вы получите на приеме.

    Записаться можно по телефону - 4957784745
  • 16 сентября 2014, в 2:50 Проверенный отзыв
    Мне 24 года. С зубами проблема. Помогите советом. Всю жизнь портят. Уже начал лечить, вылечил много. Но передние. Так хочется девочке улыбнуться, но никак. Может, удалить три передних зуба и поставить четыре имплантанта, это возможно?
    Комментарий №168498 Комментарий №168498
  • Не стоит. Я занимаюсь имплантацией и сложной хирургией более 15 лет и могу Вас заверить, что нет ничего лучше, чем свои зубы, даже самый лучший и дорогой имплантат. Приезжайте ко мне, я Вам порекомендую несколько вариантов восстановления эстетики Ваших зубов. Уверяю Вас, после короткой беседы Вы обретете уверенность в себе, а через некоторое время — качественную эстетику пере читать далее
Вас консультируют