

















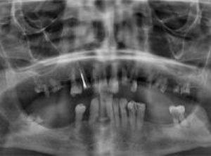
У моего знакомого 3 хороших зуба на верхней челюсти: 1 и 2 слева и 3 справа. Хочет протезировать, чтобы в зоне улыбки не торчало железо, никакое, даже кламмеры. Чтобы держалось и не отпадало.
При этом, железные, титановые коронки или кламмеры в зоне улыбки исключаются. Как и имплантаты, на которые цены не сложат.
К сожалению, другого варианта нет. Или имплантация, или съёмный кламмерный протез.
Для любых других несъёмных конструкций не позволяют условия (недостаток зубов).
Стоматолог-имплантолог, скуловой имплантолог, хирург, челюстно-лицевой хирург
Стаж: 20 лет
Стоматолог-терапевт, детский стоматолог, пародонтолог, эндодонтист
Стаж: 23 года
Стоматолог-терапевт, детский стоматолог, ортодонт
Стаж: 14 лет