

















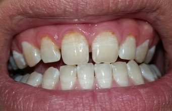
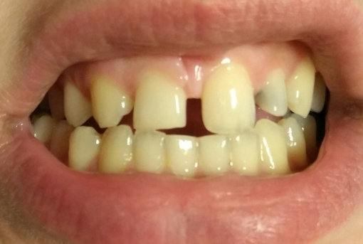
Мне 24 года. С рождения отсувствуют верхние резцы. Между зубами щель, самая большая около трех миллиметров. Знаю, что должна носить брекеты, сдвинуть клыки на место и установить импланты, но у меня скоро свадьба и хочу спросить:
Можно ли что-то временное сделать, чтобы я смогла улыбаться в этот день?
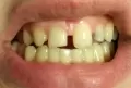
Я вам рекомендую ничего не трогать, ничего лучшего вы не сделаете. И на мой взгляд, нет ничего сверх необходимого. Теоретически, можно установить виниры или люминиры.
Стоматолог-имплантолог, скуловой имплантолог, хирург, челюстно-лицевой хирург
Стаж: 20 лет
Стоматолог-терапевт, детский стоматолог, пародонтолог, эндодонтист
Стаж: 23 года
Стоматолог-терапевт, детский стоматолог, ортодонт
Стаж: 14 лет