

















Ходил в одну платную поликлинику и, когда возникали проблемы, лечил там зубы. На очередном обследовании мне сказали, что кариеса нет и всё хорошо. Через месяц мне срочно понадобилось отремонтировать зуб - пломба откололась, но в моей больничке на этот день записи не было, я решил отремонтировать в другом месте - рекомендовали знакомые, сказав, что там дешевле.
На обследовании врач сказала, что у меня семь дырок с кариесом, помимо отвалившейся пломбы. Я засомневался, ведь поликлинника, в которую ходил и делает хорошо, и врать им смысла нет, что все зубы здоровы. Для страховки сходил к третьему специалисту. Он нашел всего две дырки, но сказал, что там запущеный случай и лечение дорогое будет, тогда как врач нашедшая семь дырок сказала, что кариес там только начался и лечение будет недорогим.
Подскажите, как в такой ситуации быть и кому верить?
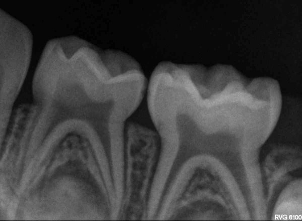
Сложно сказать, к моему большому сожалению, многие врачи забыли о своей заповеди и перешли на абсолютно коммерческую форму лечения. Не надо никому верить, сделайте снимок ОПТГ и выложите сюда.
Стоматолог-имплантолог, скуловой имплантолог, хирург, челюстно-лицевой хирург
Стаж: 20 лет
Стоматолог-терапевт, детский стоматолог, пародонтолог, эндодонтист
Стаж: 23 года
Стоматолог-терапевт, детский стоматолог, ортодонт
Стаж: 14 лет