

















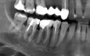
У меня треснул зуб. На снимке он со штифтом. Снимок старый. Ходила на осмотр и врач не знает что делать. Говорит, что вырвать его сейчас не получится, он стабилен, почти нет боли. Подпилила немного по высоте и отправила на снимок.
Пломба старая - лет 15. Кажется, зуб был с одной стенкой и его восстанавливали с помощью штифта и пломбы.
Как можно спасти зуб?
Зависит от того, насколько он треснул.
Если дефект распространился на корень зуба, то, однозначно, удалять.
Если корень целый, то необходимо извлечь штифт, изготовить культевую штифтовую вкладку и покрыть коронкой.
Стоматолог-имплантолог, скуловой имплантолог, хирург, челюстно-лицевой хирург
Стаж: 20 лет
Стоматолог-терапевт, детский стоматолог, пародонтолог, эндодонтист
Стаж: 23 года
Стоматолог-терапевт, детский стоматолог, ортодонт
Стаж: 14 лет