

















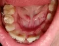
Хотела пройти процедуру чистки зубов, до этого носила брекеты, остались после них пятна. На тех местах, где ставили пломбы, образовались желто-коричневые пятна. Когда пришла к врачу, тот сказал, что чистка не поможет, нужно только спиливать те участки, где пятна и пломбировать.
Неужели другого выхода нет и ультразвуковая чистка бессильна?
Ультразвуковая чистка вообще противопоказана для чистки налета, данная манипуляция предназначена для удаления зубного камня и только. Для чистки налета необходимо пройти процедуру Айр-Фло. Но и это скорее вас не спасет. Скорее поражение слишком глубоко и придется препарировать пломбы.
Стоматолог-имплантолог, скуловой имплантолог, хирург, челюстно-лицевой хирург
Стаж: 20 лет
Стоматолог-терапевт, детский стоматолог, пародонтолог, эндодонтист
Стаж: 23 года
Стоматолог-терапевт, детский стоматолог, ортодонт
Стаж: 14 лет