

















В среду немного припухла десна около 5-ого и 6-ого зуба слева сверху и появилась царапина (похоже, что царапина от еды). В пятницу пошла к стоматологу-хирургу, он дал направление на рентген, после чего сказал, что в 7-ом зубе нужно будет заменить пломбу и воспаление пройдет.
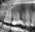
Три дня я делала полоскания солевым раствором, воспаление прошло, а вот царапина осталась и не собирается проходить. Сегодня взяла талон к стоматологу-терапевту, она сказала, что надломился корень у 7-ого зуба (мне его пломбировали 1 раз, еще где-то в 2013 году), и что его не нужно сейчас лечить, так как он не болит, а если воспалится, то сразу удалять.
Правильное ли решение приняла врач? Или мне нужно сходить к другому врачу и начать лечение?
Сомневаюсь в профессионализме доктора, который Вас смотрел. Так как для постановки диагноза перелом корня, прицельного снимка как у Вас, тем более плёночного недостаточно.
Вам необходимо сделать 3D снимок Вашего зуба и обратиться к специалисту более высокого класса.
Стоматолог-имплантолог, скуловой имплантолог, хирург, челюстно-лицевой хирург
Стаж: 20 лет
Стоматолог-терапевт, детский стоматолог, пародонтолог, эндодонтист
Стаж: 23 года
Стоматолог-терапевт, детский стоматолог, ортодонт
Стаж: 14 лет