🔥 Имплантация за 3750 ₽/мес.

Эстетическая реставрация передних зубов

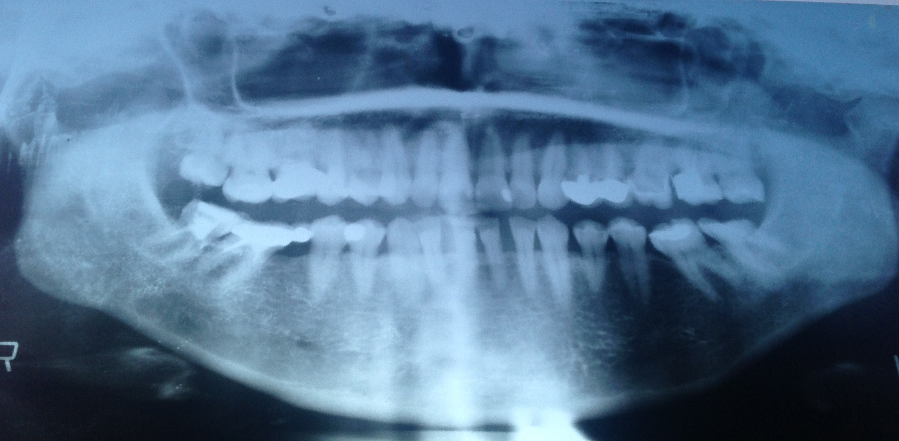
Лия27 января 2015 г.

Здравствуйте. Обращение в несколько клиник принесли отрицательный результат. При осмотре в кресле и после сделанных снимков - отказ в реставрации зубов, либо оглашают цену вдвое выше, чем указана в прайс-листе, ссылаясь на трудную работу. Речь идёт о зубах улыбки. 10 верхних и 8 нижних. Всего 18 зубов.

Прикрепленые фото
Эксперт topdent
5.0
3 отзыва
Стоматолог-терапевт, эндодонтист Стаж: 21 год

     Добрый день. По снимку ничего проблематичного я не вижу. Запишитесь ко мне на прием, мы с вами составим план лечения и приступим к работе. Есть определенные проблемы, но они вполне решаемы. Всего доброго.

Похожие вопросы

Анастасия11 мая 2014 г.
Реставрация зубов: что это, насколько эффективна, сколько держится

Здравствуйте. Подскажите пожалуйста что такое реставрация зубов (если зуб разрушен на 30-40 %)?Что она из себя представляет? Насколько эффективна? И как долго держится? Заранее спасибо

Екатерина24 декабря 2013 г.
Художественная реставрация и дистальный прикус

Можно ли сделать художественную реставрацию двух передних зубов, т.к откололись осколки от них, при неправильном дистальном прикусе?

Статьи по теме

  • 13 апреля 2018, в 1:11 Проверенный отзыв
    Передние зубы развернуты вовнутрь, клык острый правый вверху. Можно ли в моем случае выровнять зубы с помощью художественной реставрации?
    Комментарий №173272 Комментарий №173272 Комментарий №173272 Комментарий №173272
  • Да, можно провести художественную реставрацию. Можно установить виниры. Но вы должны понимать, что в этом случае будут проводить пришлифовывание твердых тканей. Можно обратиться к стоматологу-ортодонту и провести ортодонтическую коррекцию прикуса.
  • 1 октября 2017, в 14:25 Проверенный отзыв

    Мне уже делали реставрацию, но результат не понравился. Зуб получился ниже всех и кривой. Сказали, у меня такой прикус и по-другому сделать нельзя. Возможно ли сделать реставрацию нижнего зуба точно такой не формы как соседний, не ориентируясь на прикус?

    Комментарий №171152
  • Отреставрировать зуб можно. Можно максимально приблизить его по внешним данным к соседнему зубу. И высоту туже получить можно. Но будет ли в таком случае мешать данный зуб смыканию неизвестно. Точнее данный факт можно проверить только после реставрации и только в условиях клиники. К сожалению, дистанционно, по фотографии проверить не получится.
  • 28 июля 2017, в 13:09 Проверенный отзыв
    Хочу сделать эстетику передних зубов. Сколько стоят несъёмные коронки за один зуб?
  • В настоящее время наиболее широко применяются металлокерамические, безметалловые керамические и циркониевые коронки.
    Металлокерамическая коронка представлена металлическим "колпачком", покрытым керамической массой.
    Безметалловая керамическая коронка целиком состоит из керамической массы, что снижает её прочность, поэтому не рекомендуется протезирование данным видом коронок читать далее
  • 21 мая 2017, в 1:04 Проверенный отзыв
    Возможно ли отреставрировать сколовшийся резец с помощью пломбы? Или нужно ставить коронку? Откололся небольшой кусочек, ~3*5 мм.
  • Да, вполне возможно компенсировать дефект композитным пломбировочным материалом. Также возможно изготовление композитного винира.
  • 9 февраля 2017, в 18:55 Проверенный отзыв
    Каким образом (методом) можно отреставрировать передние два зуба (сверху), чтобы они стали ровными? И возможна ли реставрация только этих двух зубов, или необходимо реставрировать все?
    Комментарий №172077
  • Проконсультируйтесь со Стоматологом-терапевтом по смыканию зубов, актуальна ли будет реставрация. Возможно коррекция режущего края. Это решит только врач при осмотре.
  • 17 августа 2016, в 0:22 Проверенный отзыв
    Хочу сделать передние зубы: виниры и, возможно, импланты или коронки. Меня беспокоит только эстетика, нижние сделаны недавно. Но при улыбке почти не видны верхние зубы, так как расстояние между носом и губой увеличилось в силу возраста. Что можно сделать, и можно ли экспресс-методом за несколько дней?
    Комментарий №168915
  • Для того, чтобы ответить на Ваш вопрос, фотографии недостаточно. Необходим очный визит к стоматологу и осмотр.
  • 3 июня 2016, в 20:06 Проверенный отзыв
    Никогда не лечил зубы. Передний зуб был сломан еще в далеком детстве, с годами все сместилось и получилось то, что вы видите на фото. Второй зуб то же сломан. Что можно с этим сделать и сколько все сложно?
    Комментарий №170126
  • На самом деле с прикусом наблюдаются серьёзные проблемы. Но если вы с детства ходите со сломанным зубом, думаю, Вас это не особо волнует. Зубы необходимо отреставрировать, а сломанный покрыть коронкой. Это не сложно и не так дорого.
  • 28 января 2015, в 2:19 Проверенный отзыв
    Ответьте, пожалуйста, возможна ли реставрация фотополимером (пусть даже без гарантии) четырех верхних средних зубов, которые обточены для коронки? И если да, то сколько это будет стоить?
  • Теоретически, конечно, это возможно. Хорошая качественная реставрация обойдется Вам в наших клиниках со скидкой 3600 рублей за зуб. Запишитесь к нам на прием, мы все сделаем.
Вас консультируют