

















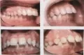
Можно ли сделать художественную реставрацию двух передних зубов, т.к откололись осколки от них, при неправильном дистальном прикусе?
Добрый день. Спасибо за вопрос, он очень правильный и информативный. Реставрацию сделать можно, но, как вы правильно выразились, у вас неправильный дистальный прикус и поэтому существует большая вероятность повторного скола. Чтобы грамотно ответить на ваш вопрос и не вводить в заблуждение, необходимо посмотреть есть ли место и не будет ли антагонисты сбивать режущий край реставрации.
Выберите время и приезжайте, я вас посмотрю.
Всего вам доброго и с наступающим Новым Годом!!!
Читайте также: Как победить скол зуба
Стоматолог-имплантолог, скуловой имплантолог, хирург, челюстно-лицевой хирург
Стаж: 20 лет
Стоматолог-терапевт, детский стоматолог, пародонтолог, эндодонтист
Стаж: 23 года
Стоматолог-терапевт, детский стоматолог, ортодонт
Стаж: 14 лет