

















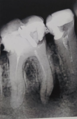
После удаления нерва из зуба, кажется четырнадцатый, на верхней челюсти, проткнули на 2 сантиметра дальше корня, я показался другому врачу и он говорит, что теперь нужно удалять зуб.
Неужели ничего нельзя поделать, чтобы сохранить зуб? Чем-то запломбировать этот канал? Мне 66 лет, их, зубов, уже почти не осталось.
В принципе, доктор прав, также возможно провести хирургическую манипуляцию (резекция верхушки корня).
Стоматолог-имплантолог, скуловой имплантолог, хирург, челюстно-лицевой хирург
Стаж: 20 лет
Стоматолог-терапевт, детский стоматолог, пародонтолог, эндодонтист
Стаж: 23 года
Стоматолог-терапевт, детский стоматолог, ортодонт
Стаж: 14 лет