

















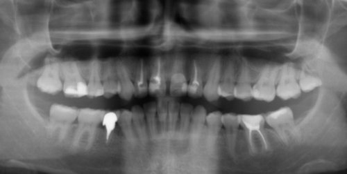
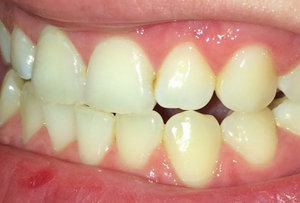
Разошлось мнение двух врачей: одна считает, что кариес на шестнадцатом есть, вторая, что его нет. На рентгене, на шестнадцатом виден темный участок, то есть, скорее кариес есть, чем его нет.
С вашей точки зрения он скорее есть, чем его нет? (речь идет не о поверхностном кариесе, который на рентгене нельзя увидеть, а о более глубоком: среднем или глубоком). Снимок был сделан до лечения.
Второй вопрос: Мне вылечили от кариеса семнадцатый и двадцать шестой зубы. Лечение производилось от двух до трех недель назад. До этого жевать было удобно, как твердую, так и мягкую пищу. Сейчас есть мягкую пищу удобно и комфортно, а твердую - не очень. Болей нет, но ощущения не очень приятные. В районе семнадцатого и двадцать шестого, ощущается некий дискомфорт.
С чем это может быть связано?
На снимке в области семнадцатого и двадцать шестого зуба, под пломбой, наблюдается полость, которая неграмотно препарирована перед установкой пломбы, чувствительность и некий дискомфорт при надкусывании или пережевывании твердой пищи связано именно с этим. Что касается шестнадцатого зуба, я считаю, что полость имеется, но все-таки необходим еще и очный прием.
Стоматолог-имплантолог, скуловой имплантолог, хирург, челюстно-лицевой хирург
Стаж: 20 лет
Стоматолог-терапевт, детский стоматолог, пародонтолог, эндодонтист
Стаж: 23 года
Стоматолог-терапевт, детский стоматолог, ортодонт
Стаж: 14 лет