

















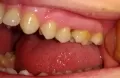
На передних двух зубах (верхняя челюсть) у меня на одном зубе между зубов появилось чёрное пятно. Очень заметно на фото и видео. Т.к. я начинающий артист, иметь дефект на зубах, да и к тому же на передних — для меня большая проблема!
Подскажите, пожалуйста, что с этим можно сделать? Может как-то можно избавиться самому? А если идти к стоматологу, то что он может мне сделать? И что сделать лучше всего?
Сами Вы, естественно, ничего не сделаете, так как кариес необходимо лечить.
Обратитесь к врачу, Вашу проблему можно решить в короткий срок, установив пломбу.
Стоматолог-имплантолог, скуловой имплантолог, хирург, челюстно-лицевой хирург
Стаж: 20 лет
Стоматолог-терапевт, детский стоматолог, пародонтолог, эндодонтист
Стаж: 23 года
Стоматолог-терапевт, детский стоматолог, ортодонт
Стаж: 14 лет