🔥 Имплантация за 3750 ₽/мес.

Что делать при боли в зубе после пломбирования каналов?

Даниил1 июня 2015 г.

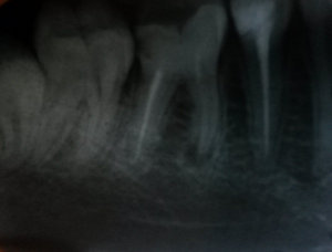
Вначале обратился к дежурному врачу из-за боли в зубе, т.к. отлетела пломба и после этого долго не обращался к врачу. Дежурный врач чуть пожужжал пылесосиком и положил лекарство. После я уже пошел к стоматологу, тот убрал лекарство, поделал немного каналы, но стало слишком больно, поэтому он положил опять-таки временную пломбу. На третьем посещении стоматологии врач долго чистил каналы, потому что они в моих 15 лет были слишком длинные, и не хватало иглы, потом взял крупную и доделал уже каналы. Далее мне запломбировал каналы и зуб соответственно. Проделывание каналов происходило без заморозки и прочего,  да и было в этот раз вовсе небольно.

В первый день боль не ощущалась, но, начиная с первого дня по третий после лечения боль стала только усиливаться. Сейчас я языком могу нащупать некую вздутость десны у зуба. Также болит прямо под зубом, будто лимфоузлы, хотя совсем не они. Начинает побаливать голова. Из народных средств попробовали некоторое, не раз пил обезболивающее, а сейчас приложили сало между щекой и десной. Надеюсь, поможет.

Эксперт topdent
5.0
3 отзыва
Стоматолог-терапевт, эндодонтист Стаж: 21 год

Сало конечно не поможет вам в этой ситуации. Ваш диагноз обострение периодонтита, причина крайне неграмотное лечение каналов. Необходимо как можно раньше обратиться к врачу, хочу отметить, в частную клинику! Зуб необходимо перелечивать , в противном случае вы рискуете его потерять .

Связанные услуги

Статьи по теме

  • 21 сентября 2019, в 23:10 Проверенный отзыв
    После лечения каналов, зуб болит уже неделю. Немного опухла щека и ярко видны вены на ней. Что делать?
    Комментарий №177776
  • Да, у верхушки корня зуба есть воспаление. Лекарство надо было ставить до тех пор, пока на рентгенограмме не исчезло бы воспаление, и не восстановилась костная ткань. Скорее всего, вам рано поставили постоянный пломбировочный материал, и инфекция в зубе ещё осталась. Обратитесь к своему лечащему врачу-стоматологу. Постоянный приём обезболивающих препаратов плохо влияет на жел читать далее
  • 1 апреля 2019, в 22:10 Проверенный отзыв
    После лечения периодонтита поставили постоянную пломбу и запломбировали каналы. Через несколько дней стал болеть зуб и больно накусывать. Что делать?
  • Вам следует обратиться к стоматологу-терапевту, проводившему лечение. Врач по снимку оценит состояние периапикальных тканей, возможно, требуется перелечивание каналов.
  • 26 марта 2019, в 15:02 Проверенный отзыв
    У меня пульпит 7-го нижнего зуба. Была у стоматолога уже три раза. Он чистит каналы и кладет лекарство с временной пломбой, но в одном из каналов боль до сих пор осталась. Что делать? Стоит ли идти к другому стоматологу, или долечить у которого начала?
  • Судя по методам лечения это не пульпит. Вас лечат от хронического воспаления (периодонтит). Стоит показаться другому врачу. При квалифицированном лечении боли не должно быть.
  • 23 апреля 2016, в 13:29 Проверенный отзыв
    Спасибо Вам, конечно, большое!!! Сегодня же непременно обратимся. Но знаете, сало действительно помогло во время сна да и сейчас не болит!
  • Это вам только кажется, раньше некоторые люди в глубинке также пользовались народными , неправильными методами, такими как анальгин ( клали его на открытый зуб) или ваточка со спиртом, впоследствии, как правило, такой зуб разрушался и удалялся. Сегодня в 21 веке современная стоматология предлагает массу методов лечения стоматологических патологий и, если действительно сало м читать далее
Вас консультируют