🔥 Имплантация за 3750 ₽/мес.

Болит зуб при трении пломбы, установленной над выемкой в эмали и дентине

Николай19 сентября 2014 г.

На жевательной поверхности семерки снизу справа (кажется 37 зуб) была выемка глубиной около 1 мм в дентин (место без эмали, где открыт дентин с ямкой в нем глубиной примерно 1 мм).

Один стоматолог сказал, что у меня, скорее всего, бруксизм, поскольку на жевательных поверхностях других зубов также есть такие выемки. Я не уверен, что это именно бруксизм, поскольку выемки есть и в тех местах, где бугры верхнего зуба не касаются жевательной поверхности нижнего зуба, т.е. в местах, где верхний и нижний зубы непосредственно по прикусу не соприкасаются. Однако какая-то патология зубной эмали (или физиологическая стираемость) все же есть, поскольку эмаль стирается на жевательной поверхности зубов, не в пришеечной области.

Вернемся к выемке. Выемка при зондировании была чувствительна, т.е. зуб реагировал болью при скрежетании по ее дну и стенкам стоматологическим зондом. Зуб из-за выемки болел периодически. В основном реагировал на химические раздражители (фруктовые кислоты).

  1. На сладкое зуб почти не реагировал (только после фруктовых кислот, если ел сладкое, тогда кратковременно болел).
  2. На горячее тоже зуб не реагировал.
  3. На холодное чувствительность была, может быть, несколько повышена, но не критично, не боль, а именно быстропроходящая (до 10 секунд) реакция.

Т.е. дентинные канальцы в выемке закупорились, и зуб более или менее адаптировался. Я бы не лечил этот зуб вовсе, однако выемка углублялась. Если на момент лечения это был еще средний кариес, то, прождав еще год, стал бы глубокий, а там и пульпит.

На жевательной поверхности этого зуба стояла пломба, установленная раньше, но она эту выемку не закрывала и ее не касалась (т.е. выемка образовалась не от скола пломбы, а сама по себе).

Дальше я сходил к стоматологу. Лечился на лазерной установке. Выемка была закрыта фотоответждаемой пломбой. По-моему, Filflex (если не ошибся в названии) Z 250. Старая пломба осталась. Однако после установки пломбы на выемку, появилась острая чувствительность на фруктовые кислоты, холод и особенно на трение. Опишу чувствительность на трение. Стоило поводить стоматологическим зондом по установленной над выемкой пломбе, как чувствовалась острая боль, как будто был оголен нерв и его самого трогали этим зондом. Такое чувство у меня уже было, когда на выемку (до пломбировки) воздействовали фруктовые кислоты, а потом я сразу начинал чистить зубы и тер щеткой по этой выемке. Вот, примерно аналогичные чувства – острая боль на механическое раздражение (трение).

Я рассказал о болях стоматологу. Зуб был перелечен стоматологом с удалением старой пломбы и покрытием всей жевательной поверхности зуба одной монопломбой. На фото как раз результат этого перелечивания. Зуб опять перелечивался на стоматологическом лазере. Травление не производилось, полость после обработки (которое эквивалентно высверливанию убираемых тканей) была обработана специальным режимом лазера для лучшей адгезии (сцепления). Двумя присутствовавшими врачами (именно врачами, а не врачом и медсестрой) полость после «высверливания» была диагностирована как средний кариес.

После на уровень дентина был положен Витремер (стеклоиномерный цемент), засвечен 40 секунд. Потом выполнена реставрация Filflex (если не ошибся в названии) Z 250 и засвечена 20 секунд. Как мне сказали, техника называется «закрытый сэндвич».

Однако! К сожалению, после перелечивания осталась боль при разжевывании твердой пищи. Причем удалось установить этот чувствительный участок. Это то место на монопломбе, где была эта злосчастная выемка. Боль именно не при надавливании на зуб, а при трении. При этом первая боль от трения очень чувствительная (первый укус), вторая и несколько последующих также, а потом зуб не дает такую пиковую болевую реакцию на трение, а начинает просто ныть, пока жуешь, а после жевания эта ноющая боль проходит спустя 2-3 минуты. Плюс осталась реакция на холодное (хоть и в меньшей степени, чем после первого лечения), и опять-таки в том месте, где была выемка (специально лили холодную воду из шприца с иглой на разные части этой семерки). При холоде боль заходит аж в шею. Потом через минуту две проходит. Но эта реакция на сверххолод (лед, специально охлажденные воду), на обычную холодную воду из-под крана зуб остро не реагирует.

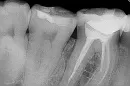
Ниже прилагаю фото этого зуба после последнего перелечивания. Также прилагаю рентгеновский снимок (семерка, о которой идет речь, живая, рядом мертвая шестерка). Зуб был перелечен 12.09.2014г.

Сегодня 19.09.2014г. Проблемы остались и не уменьшились (динамику в сторону улучшения не наблюдаю). Хуже (ночные самопроизвольные боли и т.п.) тоже не стало. Не трогаешь зуб – не болит. Начинаешь есть – и появляются описанные боли на трение и сверххолод (например, мороженное).

Прошу помочь советом, и описать технику по перелечиванию этой семерки, которая не связана с удалением нерва, и способна устранить описанные реакции. Насколько я понимаю, стоматолог, которая лечила и перелечивала этот зуб, ее не знает.

Мне пока известны только два ее этапа:

  1. Очистить полость зуба от установленной пломбы. Получится «дырка» характерная для среднего кариеса.
  2. Поводить зондом по стенкам очищенной от пломбы полости и установить, какой именно участок полости (дно или стенки) дает эту реакцию на трение.

Опишите, пожалуйста, как лечить зуб дальше, какие манипуляции производить, какие лекарства использовать, которые приведут к устранению описанного дискомфорта, чтобы я мог прийти к стоматологу, показать эту методику и сказать, лечи так. Насколько я понимаю, когда очищается дно полости от пломбы, дальше берется зонд и трется это дно, чтобы проверить отсутствие чувствительности (мне такое несколько раз делали другие врачи) и после этого уже устанавливается пломба. Этот врач такого не делала. По сути, как я понимаю, вопрос сводится к тому, как убрать чувствительность дна и стенок полости, в которую устанавливается пломба?

Прикрепленые фото
Эксперт topdent
5.0
3 отзыва
Стоматолог-терапевт, эндодонтист Стаж: 21 год

Весьма содержательное письмо!!! Молодой человек, для того, чтобы диагностировать данную проблему, необходим очный прием. Я понимаю, что вы уже и все сами не плохо понимаете в стоматологии и все-таки рекомендую обратиться к альтернативному мнению на очном приеме.

Статьи по теме

  • 26 июня 2017, в 11:39 Проверенный отзыв
    Я чистила зубы и заметила, что от зубной щетки на мертвом зубе появилась маленькое углубление. Что делать?
  • Насколько я Вас поняла, такие дефекты случаются. Одна из причин неправильная техника чистки зубов щёткой. Движения должны быть выметающими, от десны к зубам. Возможно, рецессия десны присутствует, причин здесь множество: короткая уздечка верхней и нижней челюсти, частичная адентия зубов, патологический прикус. Если полость не препарирована ранее и не глубокая, то можно восст читать далее
Вас консультируют