

















Болит верхний передний зуб при каком либо давлении/нажатии на него. Я подозреваю, что это пульпит. Но до этого несколько ночей провел на холоде. Зуб заболел два дня назад (то есть вчера). Я пришел с работы, лег спать и боль прошла. Сегодня после смены то же самое.
Подскажите, правильно ли я подозреваю болезнь и во сколько может обойтись примерно лечение?
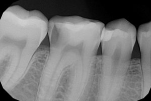
Скорее всего, это периодонтит. Лечение проходит в несколько посещений и обойдётся Вам, согласно нашему прейскуранту, в около 7000 рублей.
Стоматолог-имплантолог, скуловой имплантолог, хирург, челюстно-лицевой хирург
Стаж: 20 лет
Стоматолог-терапевт, детский стоматолог, пародонтолог, эндодонтист
Стаж: 23 года
Стоматолог-терапевт, детский стоматолог, ортодонт
Стаж: 14 лет