

















Четыре дня сильно болит зуб (был сколот). Стоматолог вчера почистил каналы, пломбу ставить не стал, выписал антибиотики, и пригласил прийти через три дня. Однако чистка не помогла, зуб очень болит, очень остро реагирует на прикосновения, обезболивающие не помогают.
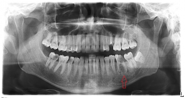
Сделал снимок, его и прикрепляю (больной зуб отметил). Стоматолог снимок не видел еще.
В зубе на верхушках корней имеется обширный воспалительный процесс. Данный зуб скорее необходимо удалить, шансы на спасение теоретические и крайне минимальные. Стоматолог крайне неграмотно, без наличия снимка провёл лечение.
Стоматолог-имплантолог, скуловой имплантолог, хирург, челюстно-лицевой хирург
Стаж: 20 лет
Стоматолог-терапевт, детский стоматолог, пародонтолог, эндодонтист
Стаж: 23 года
Стоматолог-терапевт, детский стоматолог, ортодонт
Стаж: 14 лет