

















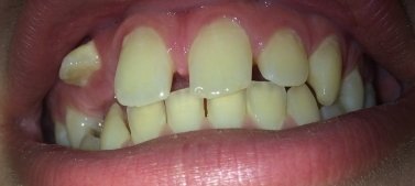
Мне 24 года, а зубы как у "старухи" и так начнем:
Боюсь, что если удалить молочные зубки новые уже наверняка не вырастут. Как быть с молочными зубами? Как быть с боковыми резцами? Хотелось бы узнать сколько будет стоить вставить новые зубы и что сделать, чтоб улыбка была как на обложке журнала?
Во-первых, хочу сказать, что ничего страшного или сверхтрудного нет.
По поводу молочных зубов ничего сказать не могу пока не увижу снимок, то есть если есть зачатки постоянных зубов, то необходимо стимулировать их рост, если их нет, значит и не будет. Необходимо тогда, удалить молочные и установить имплантаты.
Уважаемый пациент, по фото и без снимков я не могу вам абсолютно точно посчитать сумму за всю работу, а также составить однозначно точный план лечения.
Стоматолог-имплантолог, скуловой имплантолог, хирург, челюстно-лицевой хирург
Стаж: 20 лет
Стоматолог-терапевт, детский стоматолог, пародонтолог, эндодонтист
Стаж: 23 года
Стоматолог-терапевт, детский стоматолог, ортодонт
Стаж: 14 лет