

















Иногда бывают боли под пломбой, как быть?
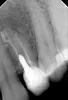
Добрый день, если речь о зубе со штифтом, то его, к сожалению, придется удалить, сломана стенка, когда устанавливали штифт, и воспаление дошло до пика.
Обратитесь на очный прием к стоматологу!
Стоматолог-имплантолог, скуловой имплантолог, хирург, челюстно-лицевой хирург
Стаж: 20 лет
Стоматолог-терапевт, детский стоматолог, пародонтолог, эндодонтист
Стаж: 23 года
Стоматолог-терапевт, детский стоматолог, ортодонт
Стаж: 14 лет