

















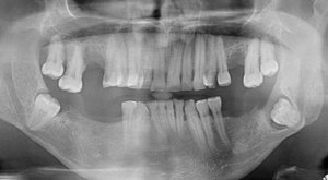
Восемь дней назад удалили нижнюю шестерку. Удаление было сложное, т.к. зуб был гнилой и ломался. Наложили шов и сказали, что его снимать не надо - "сам отпадет", и всё, что нужно делать - не мешать языком заживлению. Боль была сильная и отек не спадал, на пятый день пошла к другому врачу. Сказали, что внешне воспаления нет, а вскрывать жалко, прописали найз на три дня и ванночки настоя ромашки или хлоргексидина. Всё делаю, отек немного спал. Но соседняя пятерка всё еще болит и немного шатается, хотя недавно пломбу ставили, и всё хорошо было. Ещё какой-то неприятный привкус во рту стал, вроде кисловатый.
Подскажите, пожалуйста, что это может быть, и что вы могли бы порекомендовать? И может шов всё-таки надо снять?
В некоторых случаях стоматологи используют саморассасывющиеся швы, в этом случае снятие не требуется. Что касается подвижности пятого зуба, скорее всего, доктор имел неосторожность и упирался, при удалении, на пятый зуб и тем самым нарушил его устойчивость. Неприятный запах и привкус возможен. Не переживайте и покажитесь врачу. В будущем в хирургии обращайтесь к более опытным докторам.
Стоматолог-имплантолог, скуловой имплантолог, хирург, челюстно-лицевой хирург
Стаж: 20 лет
Стоматолог-терапевт, детский стоматолог, пародонтолог, эндодонтист
Стаж: 23 года
Стоматолог-терапевт, детский стоматолог, ортодонт
Стаж: 14 лет