

















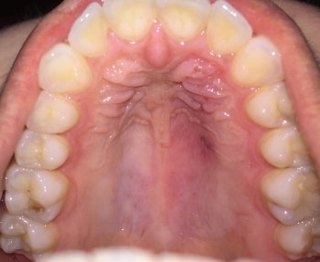
Добрый день. Три недели назад у меня выскочили 2 язвочки, очень болели: неудобно разговаривать, боль при приёме пищи. Лечил следующими способами: полоскал рот содой, корой дуба, перекисью водорода, семенами льна, разными препаратами купленными в аптеке, наносил "Метрогил Дента". В настоящее время проходят, но выскочили ещё 2... При чистке зубов кровоточат десны или зубы, так же в данный момент соблюдаю пост, не ем мясо, рыбу,молоко, яйца. Что можете посоветовать? Заранее спасибо!
Добрый день. Рекомендую использовать для полоскания либо Хлоргексидин, либо состав соль сода и несколько капель йода, а также использовать дентальную пасту Солкосерил Дента, методом интенсивного нанесения несколько раз в день.
Всего вам доброго!
Стоматолог-имплантолог, скуловой имплантолог, хирург, челюстно-лицевой хирург
Стаж: 20 лет
Стоматолог-терапевт, детский стоматолог, пародонтолог, эндодонтист
Стаж: 23 года
Стоматолог-терапевт, детский стоматолог, ортодонт
Стаж: 14 лет