

















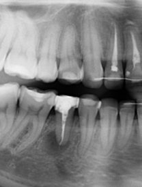
После просмотра рентгеновского снимка стоматолог сказал, что у меня киста на корне зуба, т.к. канал не до конца был запломбирован. Ближайшие к нему зубы без кисты. Врач говорит, если он Вас не тревожит, то можете пока зуб не удалять. Мне бы не хотелось удалять зуб только из-за кисты.
Возможно ли удалить кисту без потери зуба? Какова вероятность, что она не появится снова?
В некоторых случаях зуб удается спасти после адекватного эндодонтического лечения.
Возможно, стоит обратиться к врачу стоматологу-терапевту и побороться за зуб.
Стоматолог-имплантолог, скуловой имплантолог, хирург, челюстно-лицевой хирург
Стаж: 20 лет
Стоматолог-терапевт, детский стоматолог, пародонтолог, эндодонтист
Стаж: 23 года
Стоматолог-терапевт, детский стоматолог, ортодонт
Стаж: 14 лет