

















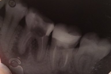
Из-за неправильного лечения образовалось воспаление под зубом и свищ сбоку на десне. В одной клинике сказали однозначно удалять, в другой, что есть 5% из 100, что можно как-то его спасти, но вряд ли.
Подскажите, пожалуйста, возможно ли вылечить зуб? Избавиться от гнойника вокруг него, чтобы не удалять зуб?
Однозначно зуб удаляется, нет там никаких пяти процентов успеха. Проблема связана, как с корнем зуба, так и по бифуркации.
Стоматолог-имплантолог, скуловой имплантолог, хирург, челюстно-лицевой хирург
Стаж: 20 лет
Стоматолог-терапевт, детский стоматолог, пародонтолог, эндодонтист
Стаж: 23 года
Стоматолог-терапевт, детский стоматолог, ортодонт
Стаж: 14 лет