

















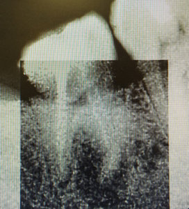
Здравствуйте. Возможно ли спасти зуб (со штифтом), поставить коронку?
От зуба остался маленький клочок. Снимок прилагаю.
Добрый день. Зуб спасти можно, диагноз периодонтит. Для лечения необходимо извлечь штифт, перелечить каналы и далее установить культевую вкладку и затем коронку.
Всего доброго!
Стоматолог-имплантолог, скуловой имплантолог, хирург, челюстно-лицевой хирург
Стаж: 20 лет
Стоматолог-терапевт, детский стоматолог, пародонтолог, эндодонтист
Стаж: 23 года
Стоматолог-терапевт, детский стоматолог, ортодонт
Стаж: 14 лет